Sức khỏe

Thanh niên trẻ phát hiện ung thư bàng quang nhờ sự bất thường khi đi tiểu

Phương Vy

Ung thư bàng quang đứng thứ 9 trong danh sách ung thư phổ biến toàn cầu với 400.000 ca mắc mới mỗi năm.

Thanh niên trẻ phát hiện ung thư bàng quang nhờ sự bất thường khi đi tiểu Ảnh 2

Một thanh niên người Trung Quốc được cho là đã không may mắc ung thư bàng quang. Theo lời kể của người thân, từ vài năm trước, anh thường xuyên có cảm giác buồn tiểu khi nghe thấy tiếng nước chảy, mỗi ngày phải vào nhà vệ sinh hàng chục lần. Ban đầu, anh chỉ nghĩ đó là dấu hiệu của phì đại tuyến tiền liệt và không mấy để tâm.

Tuy nhiên, trong một lần khám sức khỏe định kỳ tại công ty, anh phát hiện có bóng mờ ở vùng tam giác bàng quang qua siêu âm. Sau nhiều xét nghiệm, bác sĩ xác nhận anh mắc ung thư bàng quang.

Trước khi mắc ung thư bàng quang, nam thanh niên đã có nhiều dấu hiệu của bệnh nhưng không hề để tâm. Ảnh: Sưu tầm
Trước khi mắc ung thư bàng quang, nam thanh niên đã có nhiều dấu hiệu của bệnh nhưng không hề để tâm. Ảnh: Sưu tầm

Ung thư bàng quang – căn bệnh ngày càng phổ biến

Những năm gần đây, ung thư bàng quang đang có xu hướng gia tăng nhanh chóng trên toàn cầu. Là một trong những bệnh ung thư ác tính của hệ tiết niệu, căn bệnh này không chỉ phổ biến mà còn rất nguy hiểm bởi tiến triển âm thầm, khó phát hiện sớm. Theo Tổ chức Y tế Thế giới (WHO), ung thư bàng quang hiện đứng thứ 9 trong danh sách các loại ung thư phổ biến nhất, với hơn 400.000 ca mắc mới mỗi năm.

Điều đáng lo ngại là các triệu chứng ban đầu của bệnh thường mơ hồ và dễ bị bỏ qua. Nhiều người chỉ cảm thấy khó chịu nhẹ khi đi tiểu hoặc nhận thấy sự thay đổi về màu sắc nước tiểu nhưng không để ý. Chỉ đến khi bệnh tiến triển nặng hơn với các triệu chứng như tiểu nhiều, tiểu gấp, đau khi đi tiểu… họ mới tìm đến bác sĩ, lúc này việc điều trị trở nên khó khăn hơn.

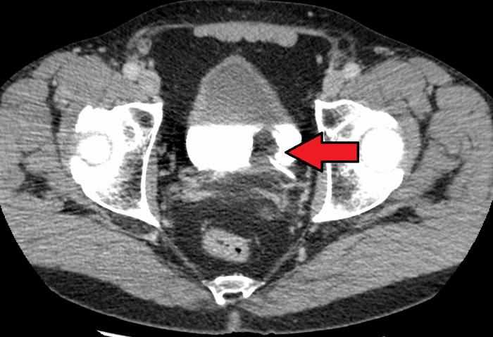
Hình ảnh CT San ung thư bàng quang. Ảnh: Sưu tầm
Hình ảnh CT San ung thư bàng quang. Ảnh: Sưu tầm

Những dấu hiệu cảnh báo sớm ung thư bàng quang

Tiểu nhiều, tiểu gấp: Người bệnh thường xuyên có cảm giác buồn tiểu, phải vào nhà vệ sinh liên tục nhưng mỗi lần chỉ đi được rất ít. Đặc biệt, có những lúc cơn buồn tiểu đến đột ngột và khó kiểm soát.

Tiểu ra máu: Đây là dấu hiệu quan trọng nhất của ung thư bàng quang. Khi tế bào ung thư phát triển, chúng có thể làm tổn thương mạch máu, khiến nước tiểu có màu hồng, đỏ hoặc nâu.

Đau khi đi tiểu: Một số bệnh nhân cảm thấy đau hoặc nóng rát mỗi khi đi vệ sinh do khối u chèn ép lên đường tiết niệu.

Đau vùng thắt lưng: Khi bệnh đã tiến triển nặng và lan rộng, người bệnh có thể bị đau lưng dai dẳng.

Ngoài những dấu hiệu trên, người mắc ung thư bàng quang còn có thể bị sụt cân không rõ nguyên nhân, mệt mỏi kéo dài, buồn nôn hoặc chán ăn. Ảnh: Sưu tầm
Ngoài những dấu hiệu trên, người mắc ung thư bàng quang còn có thể bị sụt cân không rõ nguyên nhân, mệt mỏi kéo dài, buồn nôn hoặc chán ăn. Ảnh: Sưu tầm

Làm thế nào để bảo vệ bàng quang?

Bỏ thuốc lá: Hút thuốc là một trong những nguyên nhân hàng đầu gây ung thư bàng quang. Cai thuốc giúp giảm đáng kể nguy cơ mắc bệnh.

Uống đủ nước: Việc uống nhiều nước giúp làm loãng nước tiểu, giảm thời gian các chất độc hại lưu lại trong bàng quang.

Không nhịn tiểu quá lâu: Đi tiểu thường xuyên giúp giảm áp lực lên bàng quang, hạn chế nguy cơ tích tụ độc tố.

Duy trì chế độ ăn uống lành mạnh: Tăng cường rau xanh, trái cây và ngũ cốc nguyên hạt giúp cung cấp chất chống oxy hóa, bảo vệ tế bào khỏi tổn thương.

Khám sức khỏe định kỳ: Việc kiểm tra sức khỏe thường xuyên giúp phát hiện sớm các dấu hiệu bất thường, tăng khả năng điều trị thành công.

Tóm lại, ung thư bàng quang là căn bệnh nguy hiểm nhưng hoàn toàn có thể phòng ngừa nếu duy trì lối sống lành mạnh và chú ý đến những dấu hiệu cảnh báo sớm. Hãy chủ động bảo vệ sức khỏe của mình ngay từ hôm nay!

Xem thêm: 4 bước giúp Lâm Bảo Châu nhanh chóng phục hồi chấn thương thể thao

Chia sẻ FacebookChia sẻ

Bài viết

Phương Vy

ĐƯỢC QUAN TÂM

TIN MỚI