Sức khỏe

Dùng dây đai nịt bụng để giảm cân, nữ bệnh nhân nhận hậu quả khôn lường nhập viện khẩn

Tùng Nguyễn

Nữ bệnh nhân gần 40 tuổi bị vỡ gan, chảy máu ổ bụng, gây xuất huyết nội, nhập viện khẩn do sử dụng dây đai nịt bụng để giảm cân.

Dùng dây đai nịt bụng để giảm cân, nữ bệnh nhân nhận hậu quả khôn lường nhập viện khẩn Ảnh 2

Thông tin từ Bệnh viện Thanh Vũ Medic Bạc Liêu cho biết, khoảng 1h ngày 20/2, bệnh viện có tiếp nhận nữ bệnh nhân L.T.H.L. (39 tuổi, ngụ thị xã Vĩnh Châu, tỉnh Sóc Trăng) với tình trạng đau bụng dữ dội, kèm nôn ói.

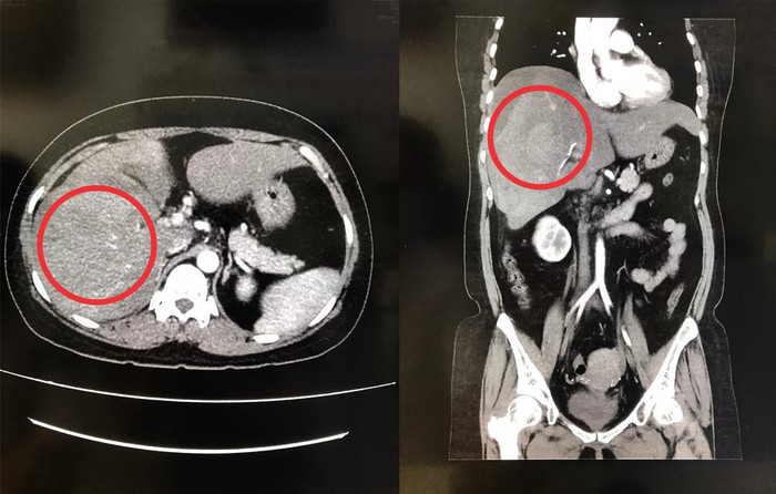
Ảnh chụp CT-scan cho thấy gan phải bị vỡ. (Ảnh: BVCC).
Ảnh chụp CT-scan cho thấy gan phải bị vỡ. (Ảnh: BVCC).

Người nhà chị L. cho biết, chị không có tiền sử về bệnh nền, cơ thể hoàn toàn khỏe mạnh. Vài năm gần đây, chị L. thường xuyên sử dụng dây đai nịt có nút thắt vào bụng để giảm cân.

Khoảng 5 ngày trước khi vào viện, trong lúc sử dụng dây đai nịt siết chặt sâu vào bụng, chị L. có biểu hiện đau bụng và nôn ói.

Đến rạng sáng 20/2, chị L. bất ngờ bị đau bụng dữ dội nên được người nhà đưa đến bệnh viện để điều trị. Qua thăm khám, bác sĩ chẩn đoán chị L. bị dập vỡ gan phải hạ phân thùy V, chảy máu ổ bụng, gây xuất huyết nội rất nguy hiểm.

Sau đó, chị L. được chỉ định thực hiện thủ thuật can thiệp chụp và nút mạch cầm máu gan trên hệ thống máy chụp mạch số hóa xóa nền (DSA), kết hợp vật liệu tắc mạch vào động mạch gan phải để tiến hành cầm máu gan vỡ.

Dùng dây đai nịt bụng để giảm cân, nữ bệnh nhân nhận hậu quả khôn lường nhập viện khẩn Ảnh 2
Hình ảnh trước và sau khi can thiệp.
Hình ảnh trước và sau khi can thiệp.

Thủ thuật diễn ra trong vòng 40 phút. Sau can thiệp, hiện tại tình trạng bệnh nhân tỉnh, mạch huyết áp ổn định, tiếp xúc tốt, giảm đau bụng. Dự kiến sẽ được xuất viện trong vài ngày tới.

Bác sĩ khuyến cáo, hiện nay có rất nhiều trường hợp chị em phụ nữ sử dụng dây đai nịt bụng để giảm cân. Tuy nhiên, việc sử dụng không đúng cách đã vô tình gây ảnh hướng đến sức khỏe như: tác động xấu đến dạ dày (gây ợ nóng, đầy hơi, chướng khí) và các cơ quan khác trong đường tiêu hóa.

Việc quấn dây đai nịt bụng không đúng cách trong thời gian dài còn gây ảnh hưởng đến cấu trúc của xương sườn, chúng sẽ siết chặt phổi, khiến cho thể tích của khoang bụng bị thu hẹp, gây khó khăn cho quá trình hô hấp, cảm giác khó thở, nghiêm trọng hơn là vỡ gan, lá lách, thận,...

Người dân cần lưu ý, khi có những biểu hiện như đau bụng, nôn ói, khó chịu thì phải đến ngay các cơ sở y tế để được bác sĩ chẩn đoán, điều trị kịp thời, tránh gây nguy hiểm đến sức khỏe và tính mạng.

Chia sẻ FacebookChia sẻ

Bài viết

Tùng Nguyễn

ĐƯỢC QUAN TÂM

TIN MỚI