Mới đây, vụ việc bé gái 5 tuổi phải nhập viện cấp cứu vì bị ngã cầu trượt làm gãy xương khuỷu tay ngoài khuôn viên Trường Mầm non Vườn trẻ thơ có địa chỉ tại Chung cư Thăng Long Garden, số 250 Minh Khai, quận Hai Bà Trưng, Hà Nội khiến dư luận xôn xao.
Liên quan đến vụ việc này, lãnh đạo Sở GD&ĐT Hà Nội cho biết, ngay sau khi tiếp nhận thông tin, đơn vị đã yêu cầu Phòng GD&ĐT quận Hai Bà Trưng xuống trường để nắm sự việc và cùng nhà trường giải quyết. Trước mắt, nhà trường và Phòng GD&ĐT tập trung thăm hỏi, lo cho sức khoẻ của trẻ.
Sau đó, Sở GD&ĐT yêu cầu, Phòng GD&ĐT, nhà trường phải xác minh, làm rõ sự việc xem trách nhiệm của giáo viên, nhà trường đến đâu. Quan điểm của Sở GD&ĐT ngay từ đầu là ai sai đến đâu sẽ bị xử lý nghiêm đến đó.
Trước đó, ngày 26/9, chị Thu H. (ở Hà Nội) cho biết, con gái chị là N.B.P. (5 tuổi) bị gãy tay trong giờ học tại trường Trường Mầm non Vườn trẻ thơ có địa chỉ tại Chung cư Thăng Long Garden. Hiện bé P. vừa được xuất viện về nhà chăm sóc và sẽ phải vào viện sau 2 tuần nữa.
Theo chị H., ngày 15/9 vừa qua khi các học sinh lớp cháu P. được 1 cô giáo dẫn ra khu vui chơi ngoài trời ở chung cư, ngoài khuôn viên của trường mầm non chơi. Tại đây, cô giáo để học sinh chơi tự do khiến cháu P. bị ngã ở khu vực cầu trượt và bị thương.
Sau đó, cháu P. kêu khóc đòi gọi mẹ nhưng các cô giáo vẫn cho về trường và cho cả lớp ăn xong rồi mới đưa cháu bé vào viện và thông báo cho gia đình.
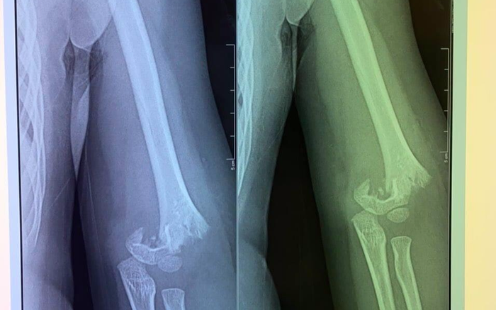
Tại bệnh viện, khi cô giáo thông báo cho mẹ cháu bé vào làm thủ tục để nhập viện, khi đó chị H. vô cùng bất ngờ khi biết con bị mổ cấp cứu, có nguy cơ bị liệt, đau đớn hơn khi xem phim chụp thấy hình ảnh xương ở khuỷu tay của con đã bị gãy lìa.
Ngày 26/9, chị H. đăng tải nội dung sự việc lên xã hội, ngay lập tức rất nhiều người đã bức xúc, đặc biệt là những phụ huynh đang có con ở độ tuổi mầm non.
Người mẹ này cũng bày tỏ, sở dĩ sự việc xảy ra từ 15/9 nhưng đến nay chị mới chia sẻ lên mạng xã hội là vì trong thời gian qua chị tập trung chăm sóc, lo lắng cho con không có thời gian. Hơn nữa trong suốt thời gian qua, phía nhà trường còn tạo cho chị những áp lực tâm lý khiến bản thân chị rất lo lắng.