Một tù nhân vừa được các bác sĩ lấy thành công khỏi mũi một quả bóng cao su chứa cần sa, 18 năm sau ngày mà anh ta nhét nó vào mũi để qua mặt bảo vệ nhà tù và định đem ra ngoài bán.
Người đàn ông 48 tuổi không rõ danh tính cho rằng anh ta đã vô tình nuốt phải viên thuốc cần sa, được bạn gái tặng cho trong một chuyến thăm tù.
Người tù nhân đã không biết viên thuốc bị kẹt sâu trong mũi cho đến khi được các bác sĩ lấy nó ra, tới lúc đó anh ta mới nhớ lại rằng mình đã cố nhét nó vào mũi để giấu. Khối thuốc được lấy ra là một viên sỏi cần sa nằm yên trong mũi, tích tụ các chất và phát triển chậm rãi trong nhiều năm.
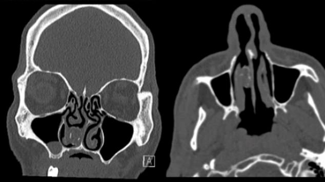
Các bác sĩ ở Úc đã tiến hành chụp CT não, sau khi người đàn ông đến bệnh viện và phàn nàn về chứng đau đầu của mình - một trong những triệu chúng phổ biến của sỏi mũi. Qua ảnh chụp, các bác sĩ thấy một vết thương màu xám với kích thước 1,9cm x 1,1cm trong khoang mũi phải của anh ta. Sau đó anh ta được chuyển đến khoa tai mũi họng tại Bệnh viện Westmead, Sydney.

Hình chụp CT của người tù nhân “đãng trí”
Khi được hỏi, anh ta thừa nhận mình có một ‘câu chuyện dài’ về việc bị nghẹt mũi và viêm xoang - hai dấu hiệu khác của sỏi mũi.
Sau khi lấy khỏi mũi của người tù nhân, các bác sĩ đã xét nghiệm và chú thích dị vật đó là “viên nang cao su có chứa chất thực vật hoặc thực vật thoái hóa”.
Viết trong Báo cáo các ca bệnh của Tạp chí Y khoa Anh, các chuyên gia tiết lộ họ phát hiện ra đó là cần sa sau khi hỏi bệnh nhân. Không rõ họ đã xử lý như thế nào với số thuốc trên.
Các bác sĩ điều trị cho biết: “Theo hiểu biết tốt nhất của chúng tôi, đây là ca bệnh đầu tiên có một tù nhân bị mắc sỏi mũi vì nhét cần sa vào mũi để giấu”.
Bác sĩ Eugene Wong, trưởng nhóm các bác sĩ nói thêm rằng đa số các trường hợp buôn lậu ma túy đều giấu bằng cách ăn hoặc nuốt vô người”.
Trong báo cáo của các bác sĩ có viết: “Sao khi theo dõi và đặt câu hỏi cụ thể, bệnh nhân đã có thể nhớ lại một sự cố xảy ra 18 năm trước, trong khi anh ta đang đi tù. Trong một chuyến thăm tù, bạn gái của bệnh nhân đã cung cấp cho anh ta một lượng nhỏ cần sa, bên trong một quả bóng cao su. Để tránh bị phát hiện, bệnh nhân đã nhét viên thuốc vào bên trong lỗ mũi phải. Mặc dù đã qua mặt bảo vệ nhà tù trót lọt, nhưng bệnh nhân sau đó đã vô tình đẩy viên thuốc sâu hơn vào lỗ mũi của anh ta và tin nhầm rằng anh ta đã nuốt nó. Anh ta vẫn không biết về sự hiện diện của viên thuốc cho đến khi được các bác sĩ cho biết về các mô bất thường trong mũi”.

Thấy đau đầu liên tục, người đàn ông quyết định đi khám để rồi tá hỏa phát hiện ra sự việc (ảnh minh họa)
Người đàn ông được báo cáo rằng đã 'giải quyết hoàn toàn' các triệu chứng sau ba tháng kể từ khi phẫu thuật.
Theo số liệu, số lượng bệnh nhân mắc chứng sỏi mũi rất hiếm, chiếm một trong 10.000 bệnh nhân được điều trị tại một đơn vị tai mũi họng. Các khối bất thường xuất hiện và phát triển chậm khi canxi và chất nhầy tích tụ trên một vật thể lạ, bao gồm các hạt, nút lọt vào bên trong và thậm chí là răng. Các triệu chứng bao gồm đau đầu - triệu chứng mà người đàn ông đã gặp, cũng như nghẹt mũi, chảy nước mũi và thậm chí đau mặt.