Một nam bệnh nhân giấu tên người Úc, 57 tuổi, đã thoát chết khi bị 2 lít phân tích tụ trong cơ thể sau 3 ngày táo bón. Theo đó, người đàn ông này nhập viện điều trị tại bệnh viện Footscray trong tình trạng đau dạ dày dữ dội, buồn nôn và táo bón. Ông nói với các bác sĩ rằng ông bị táo bón 3 ngày nay và chân phải bị liệt khoảng 24 tiếng.
Sau khi làm các xét nghiệm cần thiết, các bác sĩ phát hiện thấy khối lượng phân khổng lồ tích tụ trong đại tràng người đàn ông. Theo các bác sĩ, do lượng phân rắn tích tụ quá nhiều khiến người đàn ông bị táo bón nặng.
Phân không được thải ra ngoài trong thời gian dài sẽ khiến chúng tích tụ ngày càng nhiều trong khoang bụng bệnh nhân. Điều này khiến các cơ quan nội tạng trong cơ thể bị chèn ép, làm tăng áp lực lên dạ dày, gây tắc các mạch máu lưu thông xuống chân, đồng thời khiến thận bị tổn thương.

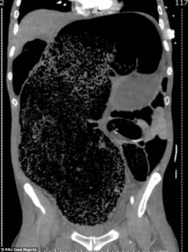
Ảnh chụp CT cho thấy lượng phân khổng lồ tích tụ trong khoang bụng bệnh nhân.
Tiến sĩ Simon Ho, người phẫu thuật cho người đàn ông 57 tuổi cho biết, sự tích tụ phân trong cơ thể khiến trực tràng bị sưng, mất cảm giác trong và ngoài hậu môn, ruột không điều tiết, chảy máu từ hậu môn, sa trực tràng.
Sau khi xác định rõ nguyên nhân, các bác sĩ tiến hành thụt tháo hết số phân tắc nghẽn ra khỏi cơ thể người đàn ông 57 tuổi. Tại đây, hơn 2 lít phân từ đại tràng của bệnh nhân đã được lấy ra.
Tuy nhiên, bệnh nhân này còn mắc thêm chứng rối loạn chức năng đa cơ quan và rối loạn chuyển hóa. Sau 4 ngày điều trị tại bệnh viện, người đàn ông đã được xuất viện. Thế nhưng, ông ta cũng mất tới 13 ngày để tập luyện mới có thể đi lại bình thường.