Theo báo cáo công bố trên tạp chí BMJ Case Reports, thiếu nữ 17 tuổi đã phát hiện bụng mình có khối u kỳ lạ từ 5 năm trước. Song, đến khi nhận thấy bụng bắt đầu phình to, cô mới hốt hoảng đến gặp bác sĩ. Cô gái trẻ thường xuyên thấy căng tức bụng và đau đớn dù chẳng ăn uống gì nhiều.
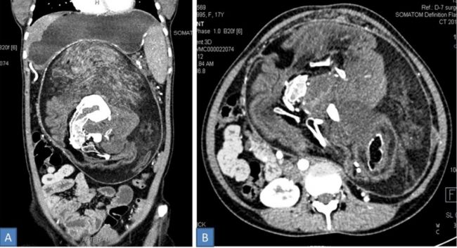
Sau khi tiến hành chụp CT, bác sĩ nhận thấy ổ bụng của cô chứa một lượng lớn xương cốt có cấu trúc tương tự với đốt sống, xương sườn và những đoạn xương dài của cơ thể người. Từ đó, họ kết luận rất có thể cô đã mắc hội chứng “thai trong thai” - một hiện tượng hiếm gặp chỉ xuất hiện với tỷ lệ 1/500.000.
Lạ lùng hơn, trường hợp bào thai phát triển trong ổ bụng thường được phát hiện rất sớm, từ khi bệnh nhân còn nhỏ tuổi. Việc phát hiện “thai trong thai” xuất hiện trên cơ thể của một cô gái 17 tuổi quả thực là trường hợp hết sức hi hữu. Thêm vào đó, khối lượng xương được tìm thấy trong bụng cô gái cũng có khối lượng lớn nhất từ trước đến nay.

Bụng của cô gái phình to vì chứa bào thai ký sinh.
Live Science cho biết hiện tượng “thai trong thai” xuất hiện khi một khối mô giống như bào thai sinh trưởng và phát triển bên trong cơ thể của anh chị em sinh đôi. Tính đến nay, toàn thế giới chỉ mới ghi nhận 200 trường hợp mắc phải vấn đề này, trong đó, chỉ có 7 ca được phát hiện khi bệnh nhân đã qua tuổi 15.
Nguồn gốc phát sinh hiện tượng này còn chưa được làm rõ, tuy nhiên, nghiên cứu từ Đại học Arizona cho biết nhiều khả năng cho thấy “thai trong thai” hình thành do biến thể của việc “ký sinh”, tức một trong hai bào thai sinh đôi hấp thụ và cướp đoạt chất dinh dưỡng từ người còn lại trong thời kỳ đầu mang thai.
Tạp chí Journal of Pediatric Surgery nhận định bào thai ký sinh phải phụ thuộc vào chất dinh dưỡng từ cơ thể người còn lại để sống. Tuy nhiên, một số nhà nghiên cứu lại cho rằng hiện tượng này là một dạng quái thai - một khối u bao gồm cả 3 loại tế bào chủ yếu được tìm thấy trong phôi thai giai đoạn đầu.

Ảnh chụp CT cho thấy một khối mô chứa lông, tóc, răng và xương trong bụng cô gái trẻ.
Với trường hợp của thiếu nữ trên, cô cần được phẫu thuật cắt bỏ khối u để tiếp tục sinh hoạt bình thường. Khối “thân thể” trong bụng cô gái có kích thước chỉ bằng 2/3 so với một bào thai khỏe mạnh: 36 x 16 x 10 cm, bao phủ bởi lông và mô răng, cùng với các chồi chi chưa kịp thành hình. “Bào thai” này cũng có cả da, tóc và mô mỡ.
Song, bác sĩ không thể tiến hành loại bỏ tất cả bộ phận thuộc về người chị em ký sinh trên người thiếu nữ vì có một số mô bám quá chặt vào mạch máu đường tiêu hóa. Nếu cưỡng ép cắt bỏ chúng, lưu lượng máu lưu thông đến ruột của cô gái có thể sẽ bị ảnh hưởng. Nhưng một khi cho phép những mô này ở lại trong cơ thể cô gái, chúng có khả năng sẽ phát triển thành ung thư. Do vậy, thiếu nữ phải kiên trì kiểm tra sức khỏe hàng năm để kịp thời phát hiện dấu hiệu bất thường. Đã 2 năm trôi qua kể từ ngày phẫu thuật, may mắn thay, hiện tại cô vẫn khỏe mạnh và sống vui vẻ bên người thân.
Chia sẻ về trải nghiệm có khối u kỳ quái trong bụng, cô gái cho biết: “Tôi đã từng rất lo lắng khi thấy bụng mình to lên từng ngày. Sau ca phẫu thuật, tôi đã quay lại với cuộc sống bình thường. Bố mẹ tôi rất vui vì điều đó”.