Vòng quanh thế giới

Mê man trong lúc ngủ, người đàn ông nuốt luôn tai nghe Airpod

Song Long

Choàng tỉnh từ cơn ngủ mê vì bị ngạt thở, người đàn ông lo lắng đi khám mới phát hiện "thủ phạm" là một chiếc tai nghe Airpod.

Mê man trong lúc ngủ, người đàn ông nuốt luôn tai nghe Airpod Ảnh 2

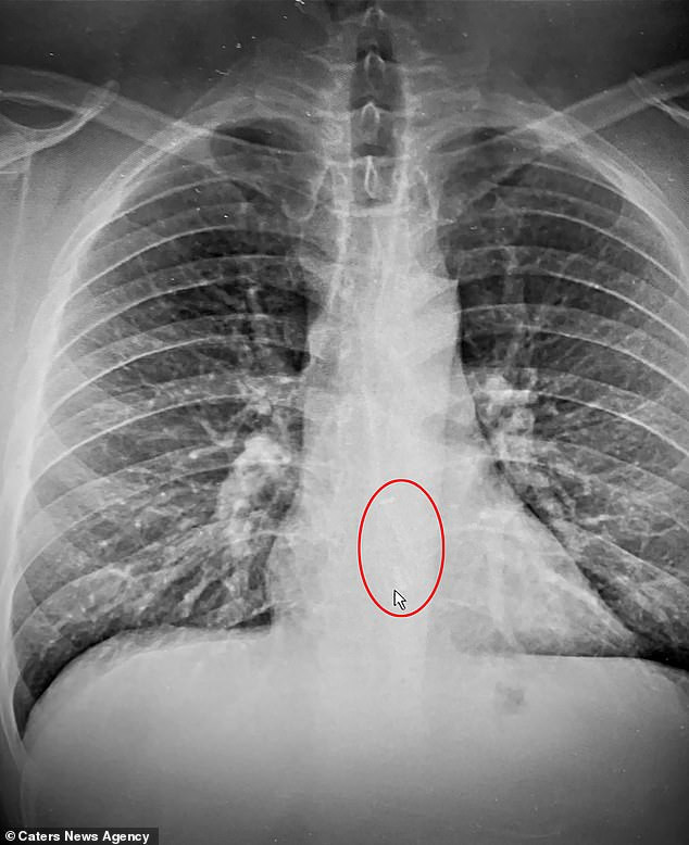
Ngày 2/2, Brad Gauthier đột ngột nôn khan chỉ vì uống một cốc nước sau khi rời giường. Chẳng biết mình bị làm sao, người đàn ông 38 tuổi ở thành phố Worcester, bang Massachusetts (Mỹ) đến bệnh viện khám thì được thông báo tin "sét đánh ngang tai". Kết quả chụp X-quang cho thấy một bên tai nghe Airpod của anh bị mắc kẹt trong thực quản!

Brad Gauthier đột ngột nôn khan chỉ vì uống một cốc nước sau khi rời giường. 
Brad Gauthier đột ngột nôn khan chỉ vì uống một cốc nước sau khi rời giường. 

Chiếc tai nghe này chính là nguyên nhân khiến dòng nước bị nghẽn khi vào cổ họng, khiến Gauthier có cảm giác buồn nôn. Ban đầu, người đàn ông không hề nghĩ đến việc mình đã nuốt nhầm vật thể lạ. Anh chỉ cố chịu đựng cảm giác đau âm ỉ nơi ngực và sinh hoạt như bình thường, thậm chí còn dọn cả con đường bừa bộn sau một trận bão tuyết. 

Một lát sau, Gauthier mới nhận ra một bên tai nghe của mình đã biến mất. Trong lúc tìm kiếm, vợ của Gauthier còn đùa rằng có khi nào chiếc tai nghe đã "chui tọt" xuống họng nên mới khiến anh đau lồng ngực hay không. Thoạt tiên, anh còn cười phá lên vì câu chuyện hài của vợ, nhưng sau một hồi suy ngẫm, người đàn ông bắt đầu lo lắng khi nghĩ rằng đây có thể là chân tướng.

Một lát sau, Gauthier mới nhận ra một bên tai nghe của mình đã biến mất. 
Một lát sau, Gauthier mới nhận ra một bên tai nghe của mình đã biến mất. 

Khi nghe Gauthier trình bày về tình trạng của mình, các bác sĩ cho rằng anh khó chịu do những món ăn trong bữa tiệc sinh nhật vợ vào đêm trước. Ngờ đâu, kết quả chụp X-quang lại vạch trần "thủ phạm" thật sự là chiếc tai nghe yêu quý mà anh đeo trong lúc ngủ.

Kết quả chụp X-quang lại vạch trần 'thủ phạm' thật sự là chiếc tai nghe yêu quý mà anh đeo trong lúc ngủ.
Kết quả chụp X-quang lại vạch trần "thủ phạm" thật sự là chiếc tai nghe yêu quý mà anh đeo trong lúc ngủ.

"Tình huống lúc đó buồn cười lắm, khi nhân viên y tế rời khỏi phòng, tôi nghe vài tiếng kêu thảng thốt bên ngoài cánh cửa: 'Không, lẽ nào lại như thế?'. Một lúc sau, cô ấy quay lại và xác nhận đúng là chiếc tai nghe bị kẹt trong cơ thể tôi", Gauthier nói. 

Người đàn ông 38 tuổi tin rằng chiếc Airpod đã vô tình rơi vào miệng và bị anh nuốt xuống trong lúc ngủ. May mắn thay, nó không kẹt lại ở vị trí hung hiểm nào. "Nếu nó chắn ngang đường thở của tôi thì vấn đề sẽ nghiêm trọng hơn nhiều. Số tôi rất may khi mọi chuyện được giải quyết cực kỳ nhanh chóng", anh cho biết.

Gauthier bên vợ và hai con.
Gauthier bên vợ và hai con.

Trước lúc tiến hành phẫu thuật nội soi để loại bỏ chiếc tai nghe khỏi cơ thể Gauthier, bác sĩ đã cảnh báo anh về nguy cơ thiết bị này bị bung ra, dẫn đến các chi tiết nhỏ rơi vào dạ dày hoặc phổi. Tuy nhiên, anh có thể thở phào nhẹ nhõm khi ca phẫu thuật diễn ra thành công. Gauthier có thể dùng bữa ngay sau đó, thậm chí trở về nhà làm việc như bình thường.

Chia sẻ FacebookChia sẻ

Nguồn

Daily Mail

Bài viết

Song Long

ĐƯỢC QUAN TÂM

TIN MỚI