Bệnh nhân Hàn Quốc 54 tuổi đã tìm đến sự giúp đỡ của các bác sĩ sau khi phải chịu đựng những cơn đau bụng dữ dội. Bác sĩ nhận thấy người đàn ông có dấu hiệu bị đầy hơi và trong bụng bệnh nhân có rất nhiều vật thể trông giống như những viên đá nhỏ khi họ chạm vào bụng ông ta.

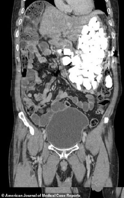
Ảnh chụp cho thấy dạ dày của người đàn ông bị lấp đầy bằng sỏi đá, đồng xu và nắp chai
Kết quả chụp ổ bụng sau đó cho thấy những dị vật đã chiếm lấy toàn bộ dạ dày của bệnh nhân.
Sau khi điều tra, người đàn ông thú nhận ông ta thường xuyên nuốt đồng xu và đá cuội khi nào cảm thấy lo lắng mặc dù đã uống thuốc an thần. Người đàn ông được xác định đến từ Goyang, phía bắc thủ đô Seoul. Được biết bệnh nhân bị thiểu năng trí tuệ từ khi sinh ra.
Sự việc hy hữu đã được bác sĩ Pyong Wha Choi tiết lộ trên Tạp chí Báo cáo về trường hợp y khoa của Mỹ.
Ban đầu, các bác sĩ phẫu thuật đã cố gắng loại bỏ các vật thể bằng phương pháp nội soi. Họ đã đưa một ống mỏng vào dạ dày qua đường miệng. Tuy nhiên, nó đã thất bại vì số lượng của các vật thể quá lớn. Không rõ người đàn ông đã nuốt bao nhiêu thứ vào trong người.

Khối lượng sỏi đá và đồng xu người đàn ông nuốt vào bụng lên tới 2kg
Ngày hôm sau, một nhóm các bác sĩ đã quyết định đưa từng vật thể ra ngoài bằng cách mổ ổ bụng bệnh nhân. Tất cả những gì họ lấy ra được bao gồm đá cuội, tiền xu, nắp chai.
Bác sĩ Choi đã viết: “Phẫu thuật là không thể tránh khỏi vì có quá nhiều vật thể cần được đưa ra ngoài, nên rất khó có thể sử dụng phương pháp nội soi”.

Người đàn ông Hàn Quốc đã dùng những vật thể lạ để “chôn lấp những nỗi lo”.
Người đàn ông đã được xuất viện sau 9 ngày điều trị tại bệnh viện Ilsan Paik của Đại học Inje.
Thảo luận về các trường hợp hiếm gặp trong y khoa, bác sĩ Choi cho hay việc nuốt phải những vật thể lạ thường xảy ra nhiều hơn ở trẻ em vì chúng thường vô tình nuốt phải những vật nhỏ bé khi chơi đùa. Tuy nhiên, trường hợp này cũng xảy ra không ít với người trưởng thành. Nhưng những thứ họ hay nuốt phải lại là xương gà và xương cá.
Bác sĩ Choi có viết: “Những vật thể lạ đi qua thực quản hiếm khi để lại những triệu chứng liên quan. Còn trong trường hợp này, mặc dù bệnh nhân không bị nôn mửa, nhưng với số lượng đồng xu và sỏi lớn như vậy việc đau bụng là không thể tránh khỏi”.