
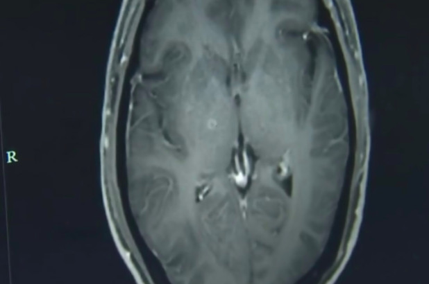
Ảnh chụp cắt não cho thấy não của người đàn ông bị nhiễm sán dây ký sinh, khiến ông này bị co giật và mất ý thức.
Bệnh nhân, được xác định là Zhu Zhongfa, được cho là đã ăn thịt lợn chưa nấu chín, nên nhiễm Taenia solium, một loại sán dây ký sinh.
“Các bệnh nhân khác nhau phản ứng khác nhau với nhiễm trùng tùy thuộc vào nơi vật thể sống ký sinh”, Tiến sĩ Huang Jianrong, bác sĩ lao tại Bệnh viện liên kết của Đại học Y khoa Chiết Giang, nói với AsiaWire. “Trong trường hợp này, bệnh nhân bị co giật và bất tỉnh, nhưng những người khác bị u nang trong phổi có thể ho rất nhiều”.
Jianrong giải thích, ấu trùng xâm nhập vào cơ thể Zhongfa thông qua hệ thống tiêu hóa và đi lên các bộ phận bên trên thông qua máu. Ông bị chẩn đoán mắc cysticercosis và neurocysticercosis và được cho dùng một loại thuốc chống ký sinh trùng và các loại thuốc khác để bảo vệ các cơ quan khỏi tổn thương thêm.

Bệnh nhân được cho là đã ăn thịt nấu chưa chín.
Jianrong cho biết bệnh nhân của ông đã khỏe lại sau một tuần, nhưng sức khoẻ vẫn sẽ bị ảnh hưởng lớn.
Trung tâm kiểm soát và phòng ngừa dịch bệnh (CDC) của Mỹ khuyến nghị người dân nấu thịt ở nhiệt độ an toàn và sử dụng nhiệt kế thực phẩm trong nỗ lực tránh nhiễm trùng.
Con người là vật chủ duy nhất cho sán dây Taenia và vượt qua các phân đoạn sán dây và trứng trong phân làm ô nhiễm đất ở những khu vực kém vệ sinh. Trứng tồn tại trong môi trường ẩm ướt trong nhiều ngày đến vài tháng và bò hay lợn bị nhiễm bệnh sau khi được cho ăn ở những khu vực bị ô nhiễm.
Khi ở trong động vật, trứng nở trong ruột và di chuyển đến cơ - nơi nó phát triển thành cysticerci có thể tồn tại trong vài năm. Trứng vào cơ thể người khi họ ăn thịt bò hoặc lợn sống hoặc chưa nấu chín.