Ông Toh Kai Kiat (54 tuổi, một người buôn bán đồ trang sức) là bệnh nhân 188 bị nhễm COVID-19 ở Singapore và cũng là một trong những bệnh nhân nặng nhất ở nước này. Ông Tol bắt đầu xuất hiện các triệu chứng vào ngày 7/3 và đã tìm cách điều trị tại 2 phòng khám tư nhân nhưng vẫn không có dấu hiệu thuyên giảm.
Tới ngày 12/3, ông Tol được đưa vào Bệnh viện Khoo Teck Puat và được chẩn đoán nhiễm COVID-19 vào chiều hôm đó. Hai ngày sau, ông Tol được đặt nội khí quản do nồng độ oxy trong máu ngày càng thấp. Dù vậy, bệnh tình của ông Tol vẫn không được cải thiện và ông được chuyển tới Bệnh viện Đại học Quốc gia Singapore (NUH) vào ngày 17/3 để điều trị ECMO.

Ông Tol tập thể dục tại nhà để hỗ trợ phục hồi.
Từ khi ông Tol được chuẩn đoán nhiễm COVID-19, các thành viên trong gia đình ông Tol đều bị cách ly, không được gặp mặt ông Tol và chỉ có thể nhận thông tin về sức khỏe của ông qua bệnh viện. Suốt những ngày điều trị, gia đình ông Tol luôn sống trong cảm giác thấp thỏm, lo sợ.
Con trai ông Tol nói: “Chúng tôi như đi từ thiên đường xuống địa ngục, vui mừng khi cha khỏe lại, nhưng chỉ vài ngày sau đó, hy vọng lại tan vỡ khi bệnh cha trở nặng“.
Thậm chí, vợ và con trai của ông Tol còn được tới thăm ông Tol vào ngày 17/3 do tình trạng của ông lúc này đang nguy kịch. “Chúng tôi không biết liệu anh ấy có qua khỏi hay không, vì vậy chúng tôi đã yêu cầu được tới thăm“, vợ ông Tol nói.
Dù vậy, để đảm bảo an toàn, vợ và con trai ông Tol cũng chỉ được nhìn thấy ông Tol trong vài phút ngắn ngủi qua tấm kính.

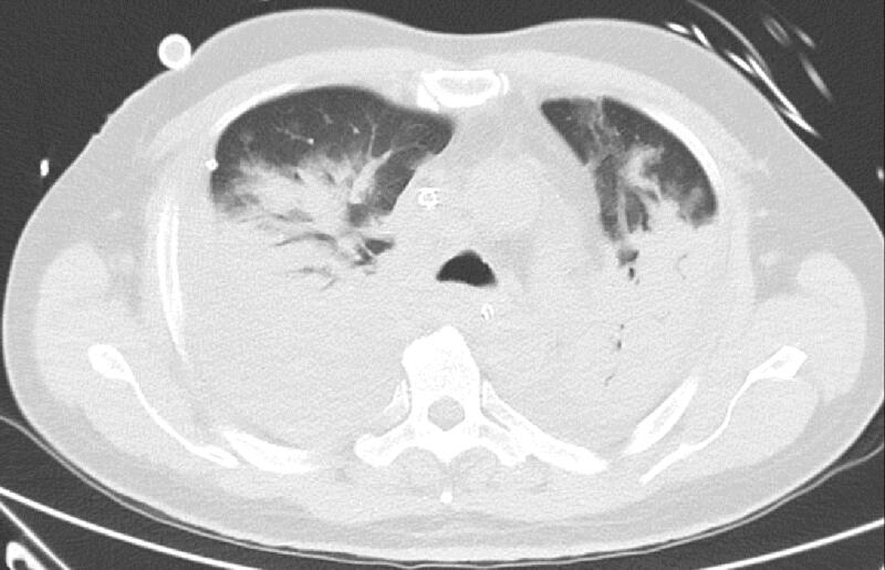
Ảnh chụp cắt lớp cho thấy phổi của ông Tol chứa đầy chất lỏng do bị nhiễm COVID-19.
Không chỉ vậy, khi bắt đầu điều trị ECMO, ông Tol bị ngưng tim tới 16 phút nhưng với sự nỗ lực của các y bác sĩ, tim của ông đã đập trở lại. Tuy nhiên, việc thiếu oxy trong máu cũng ảnh hưởng tới các cơ quan khác trong cơ thể, chẳng hạn như thận và gan, khiến ông Tol phải điều trị lọc máu tạm thời.
Cuối cùng, ông Tol đã khỏe hơn và tháo máy thở vào ngày 26/3, được chuyển tới phòng cách ly chung vào ngày 6/4. Dù đã bước một chân qua cửa tử sau 42 ngày vật lộn nhưng khi tỉnh lại, ông Tol có rất ít hồi ức về trải nghiệm đau đớn đó, tất cả đều phải dựa vào lời kể của vợ và con trai ông.
“Khi tôi thức dậy trong bệnh viện nhiều ngày sau đó, tôi không thể nói chuyện, có rất nhiều ống dẫn, nhiều thiết bị quanh người. Tôi cảm thấy như sắp chết vậy“, ông Tol chia sẻ.

Ông Tol đang phải dùng nạng để hỗ trợ đi lại.
“Tôi muốn cảm ơn các nhân viên y tế đã chăm sóc tôi chu đáo như người thân trong gia đình. Bệnh của tôi thực sự rất nghiêm trọng. Tôi vốn là một người khỏe mạnh và thường xuyên tập thể dục nhưng điều này đã xảy ra với tôi, vì vậy nó có thể tấn công bất kỳ ai. Tôi rất biết ơn khi được tái sinh“, ông Tol nói thêm.
Tuy ông Tol đã khỏi bệnh nhưng ông vẫn phải tập luyện vật lý trị liệu tại nhà để hỗ trợ phục hồi. Ông Tol vẫn chưa thể đi lại như bình thường mà phải sử dụng nạng để hỗ trợ.