Vòng quanh thế giới

Ngực liên tục chảy ra chất dịch, người đàn ông đi bệnh viện thì phát hiện bí mật kinh hoàng suốt 8 năm

Thanh Phúc

Sự việc của người đàn ông đã khiến giới y khoa kinh ngạc.

Một ca bệnh hiếm gặp vừa được ghi nhận tại Tanzania đã khiến giới y khoa lẫn công chúng không khỏi kinh ngạc: một người đàn ông 44 tuổi mang trong mình một vật thể suốt tám năm mà hoàn toàn không hay biết.

Câu chuyện bắt đầu khi bệnh nhân xuất hiện hiện tượng bất thường, chảy mủ trắng từ dưới núm vú phải. Điều khó tin là anh không hề đau ngực, không khó thở, cũng không có bất kỳ triệu chứng lâm sàng nguy hiểm nào khác. Các bác sĩ tại Bệnh viện Quốc gia Muhimbili, nơi anh tìm đến, ban đầu rơi vào thế bối rối vì không thể xác định nguyên nhân.

Ngực liên tục chảy ra chất dịch, người đàn ông đi bệnh viện thì phát hiện bí mật kinh hoàng suốt 8 năm Ảnh 1

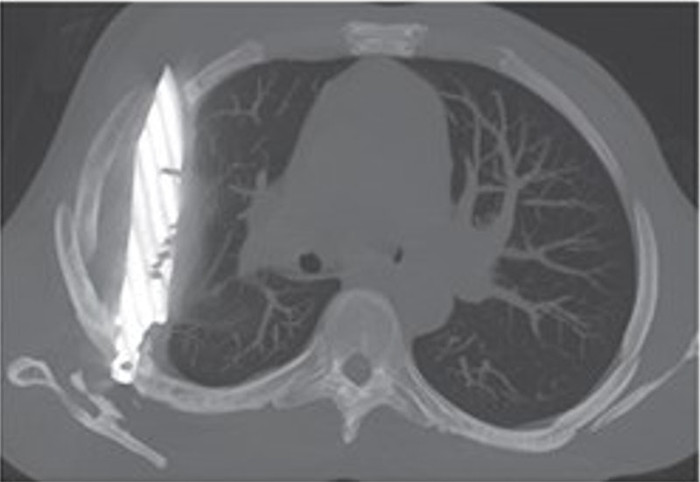
Trong quá trình thăm khám, người đàn ông nhớ lại một biến cố trong quá khứ: tám năm trước, anh từng tham gia một cuộc ẩu đả dữ dội, bị chém nhiều nhát vào mặt, lưng, ngực và bụng. Dù đã được điều trị, nhưng dường như có điều gì đó bị bỏ sót. Các bác sĩ quyết định chụp X-quang, và phát hiện sự thật gây sốc: một lưỡi dao lớn vẫn còn găm trong lồng ngực anh suốt tám năm qua.

Kết quả hình ảnh cho thấy lưỡi dao xuyên qua xương bả vai phải và nằm trong khoang ngực, nhưng may mắn không đụng chạm đến tim, phổi hay các cơ quan trọng yếu khác. Chính sự “ăn may” này đã giúp bệnh nhân sống sót mà không gặp biến chứng nghiêm trọng trong suốt thời gian dài. Chỉ đến khi cơ thể phản ứng bằng việc rỉ mủ từ vùng ngực, bí mật khủng khiếp mới được phơi bày.

Ngay sau khi phát hiện, các bác sĩ đã tiến hành ca phẫu thuật khẩn cấp để lấy lưỡi dao ra và xử lý phần mô hoại tử. Sau 24 giờ theo dõi tại khoa Hồi sức tích cực, bệnh nhân hồi phục tốt và được chuyển về khoa thường. Đây được xem là một trong những trường hợp y học hy hữu, minh chứng cho khả năng kỳ diệu của cơ thể trong việc thích nghi với dị vật.

Ngực liên tục chảy ra chất dịch, người đàn ông đi bệnh viện thì phát hiện bí mật kinh hoàng suốt 8 năm Ảnh 2

Không chỉ ở Tanzania, những sự cố tương tự từng xảy ra ở nhiều nơi trên thế giới. Năm 2022, một phụ nữ 44 tuổi tại bang Madhya Pradesh (Ấn Độ) phải chịu đựng những cơn đau bụng kéo dài sau một ca phẫu thuật. Khi thực hiện chụp cắt lớp vi tính (CT), các bác sĩ bàng hoàng phát hiện một chiếc kéo phẫu thuật bị bỏ quên trong bụng bà suốt hai năm trời. Trường hợp này từng làm dấy lên nhiều tranh luận về sự an toàn trong quy trình y tế.

Qua những câu chuyện tưởng chừng chỉ có trong tiểu thuyết, có thể thấy y học không chỉ là khoa học chính xác, mà đôi khi còn ẩn chứa những “bí ẩn sinh tồn” ngoài sức tưởng tượng. Một lưỡi dao găm trong cơ thể tám năm, hay chiếc kéo nằm im lìm trong ổ bụng suốt hai năm, đó không chỉ là sự bất cẩn hay kỳ tích y khoa, mà còn là lời nhắc nhở về tầm quan trọng của kiểm tra sức khỏe định kỳ cũng như sự cẩn trọng trong chăm sóc y tế.

Ngực liên tục chảy ra chất dịch, người đàn ông đi bệnh viện thì phát hiện bí mật kinh hoàng suốt 8 năm Ảnh 3

Ca bệnh tại Tanzania đã được Tạp chí Báo cáo Ca phẫu thuật ghi nhận, trở thành minh chứng rõ rệt cho sự phi thường của cơ thể con người. Và trên hết, nó để lại một thông điệp mạnh mẽ: dù cơ thể có khả năng chịu đựng đến mức nào, việc lắng nghe những dấu hiệu bất thường và tìm đến y tế kịp thời vẫn là yếu tố quyết định để bảo toàn sức khỏe và sự sống.

Chia sẻ FacebookChia sẻ

Bài viết

Thanh Phúc

ĐƯỢC QUAN TÂM

TIN MỚI