Vòng quanh thế giới

Máy quét an ninh thế hệ mới giúp phát hiện 55 phạm nhân lén mang 'hàng cấm' vào tù

Thanh Vân

Dòng máy quét an ninh thế hệ mới được dùng tại sân bay đang tạo nên bước ngoặt lớn trong cuộc chiến chống tệ nạn ma túy và bạo lực ở nhà tù.

Máy quét an ninh thế hệ mới giúp phát hiện 55 phạm nhân lén mang 'hàng cấm' vào tù Ảnh 2

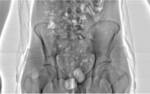
Chỉ sau vài ngày được lắp đặt, những máy quét này đã giúp lực lượng chức năng Anh phát hiện 55 phạm nhân đang âm mưu "tuồn" hàng cấm vào tù. Với sự trợ giúp của máy quét an ninh, các quản ngục có thể lập tức phát hiện các tù nhân lén mang theo vũ khí, điện thoại di động hoặc ma túy, ngay cả khi họ cố che giấu bằng cách... nhét chúng vào cơ thể mình.

Chỉ sau vài ngày được lắp đặt, những máy quét này đã giúp lực lượng chức năng Anh phát hiện 55 phạm nhân đang âm mưu 'tuồn' hàng cấm vào tù. 
Chỉ sau vài ngày được lắp đặt, những máy quét này đã giúp lực lượng chức năng Anh phát hiện 55 phạm nhân đang âm mưu "tuồn" hàng cấm vào tù. 

Sau khi thử nghiệm loại máy quét tia X này tại 9 nhà tù có hoàn cảnh phức tạp nhất cả nước, cơ quan chức năng Anh nhận thấy kết quả rất khả quan. Mức độ chi tiết và rõ ràng của hình ảnh mà máy quét cung cấp được đánh giá cao hơn nhiều so với các thiết bị trước đó tại nhà ngục. Do vậy, máy quét an ninh sẽ được triển khai nhân rộng tại nhiều nhà tù khác trong tương lai. 

Cụ thể, một tù nhân đã bị phát hiện nuốt 4 chiếc điện thoại tí hon vào bụng. Một người khác bị bắt quả tang giấu ma túy trong hai chiếc vỏ trứng đồ chơi của hãng Kinder, sau đó nhét chúng vào cơ thể. Những chi tiết này gần như không thể bị phát hiện trên các máy quét tia X thông thường. Vài tù nhân khác bị cáo buộc lén mang theo USB để liên lạc với bên ngoài, trong khi một số người muốn đem thuốc lá vào tù. Song, tất cả họ đều thất bại trước chiếc máy quét an ninh công nghệ cao vừa được lắp đặt.

Một người khác bị bắt quả tang giấu ma túy trong hai chiếc vỏ trứng đồ chơi của hãng Kinder, sau đó nhét chúng vào cơ thể. 
Một người khác bị bắt quả tang giấu ma túy trong hai chiếc vỏ trứng đồ chơi của hãng Kinder, sau đó nhét chúng vào cơ thể. 

"Bước tiến vượt bậc của công nghệ đóng vai trò quan trọng trong việc hiện thực hóa nỗ lực xây dựng một hệ thống nhà tù không ma túy và các yếu tố tội phạm khác mà chúng tôi đang hướng đến", trích lời Lucy Frazer, người đứng đầu cơ quan quản lý trại giam tại Anh. "Máy quét sẽ ngăn chặn sự xâm nhập của ma túy và điện thoại di động, tạo điều kiện cho các sĩ quan tập trung vào việc cải tạo phạm nhân".

Hiện tại, hệ thống máy quét an ninh mới đã vận hành tại Bedford, Lincoln, Durham, Liverpool, Preston, Pentonville, Wandsworth, Norwich và Chelmsford. Chính phủ Anh đã khởi động chiến dịch bảo mật trong trại giam với kinh phí 100 triệu GBP (hơn 130 triệu USD), cũng có nghĩa là trong thời gian tới, những chiếc máy quét "toàn năng" này sẽ tiếp tục xuất hiện ở 16 nhà tù khác trên khắp xứ sở sương mù.

Chia sẻ FacebookChia sẻ

Nguồn

The Sun

Bài viết

Thanh Vân

ĐƯỢC QUAN TÂM

TIN MỚI