Bệnh nhân 21 tuổi có tên “Ajun”, sống tại Quảng Đông, Trung Quốc cho biết bốn ngón chân phụ trên bàn chân trái đã khiến anh bị mọi người xung quanh kỳ thị đến mức anh này phải ngừng đi dép từ năm 10 tuổi.

Cận cảnh bàn chân 14 ngón của anh Ajun
Ajun nói với các bác sĩ rằng cha mẹ anh biết rõ về tình trạng của con mình ngay khi anh được sinh ra. Tuy nhiên, thay vì làm phẫu thuật cắt bỏ ngón chân thừa cho con, cha mẹ anh lại tin lời khuyên của một thầy bói rằng ngón chân phụ của anh là 'một món quà từ thiên đàng' không nên cắt bỏ.

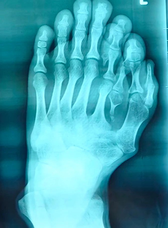
Bàn chân được chụp X-quang
Ajun cho hay: “Bố mẹ tôi rất mê tín, vì vậy họ đã không điều trị cho tôi. Họ nghĩ rằng, nếu các ngón chân thực sự trông quá tệ, tôi chỉ cần giấu chúng đi bằng cách đeo giày là xong”.
Ajun đã tìm đến bệnh viện phẫu thuật Shunde Heping, thành phố Phật Sơn với hi vọng chữa lành đôi chân của mình. Tại đây anh đã gặp bác sĩ Wu Xiang.
Chia sẻ về tình trạng chân của Ajun, bác sĩ Wu Xiang cho biết: “Rất hiếm khi thấy một dị tật nghiêm trọng như vậy không được điều trị ở một bệnh nhân 21 tuổi.”
Bác sĩ Wu nói thêm: “Các bệnh viện khác sẽ cắt bỏ những ngón chân thừa phía ngoài cùng của anh ấy. Đó là giải pháp đơn giản nhất, nhưng không phải là tốt nhất”.
“Ngón chân trông tự nhiên nhất của anh ấy là ngón nằm ở vị trí ngoài cùng, vì vậy chúng tôi quyết định di chuyển và thay thế ngón thứ năm của anh ấy để tạo ra một ngón chân cái mới”, bác sĩ Wu nói thêm.
Được biết bác sĩ Wu và nhóm của ông đã thực hiện ca phẫu thuật kéo dài 9 giờ đồng hồ để tạo ra bàn chân trái mới cho anh Ajun.

Cuộc phẩu thuật cắt bỏ những ngón chân thừa kéo dài 9 giờ đồng hồ
Chia sẻ về cảm xúc sau khi trải qua cuộc đại phẫu, Ajun tiết lộ anh hoàn toàn hài lòng với bàn chân hiện tại của mình.
Chàng trai trẻ nói: “Tôi chưa từng có bạn gái vì tôi không hoàn hảo. Tôi chưa bao giờ nghĩ rằng tôi sẽ tìm được người muốn ở bên tôi. Bây giờ tôi cảm thấy rất tuyệt. Tôi rất biết ơn bác sĩ Wu Xiang”.

Bàn chân sau khi được phẫu thuật
“Tôi nghĩ rằng bàn chân của tôi giờ đây rất hoàn hảo. Bác sĩ Wu đã cho tôi xem hình ảnh bàn chân của tôi sau khi phẫu thuật, và tôi rất hạnh phúc”.
Hiện Ajun đang trong quá trình hồi phục tại bệnh viện và dự kiến sẽ được xuất viện trong vài tuần tới.