Vòng quanh thế giới

Bé gái 11 tuổi mọc 81 chiếc răng

Thanh Phúc

Bé gái khiến dư luận xôn xao vì câu chuyện của mình.

Một trường hợp y khoa cực kỳ hiếm gặp đã gây chấn động giới khoa học và truyền thông quốc tế, khi một bé gái 11 tuổi ở Brazil được phát hiện có tới 81 chiếc răng trong miệng, vượt xa số lượng răng trung bình của một người trưởng thành. Tin tức về trường hợp đặc biệt này, bao gồm 31 chiếc răng thừa, đã nhanh chóng được đăng tải trên một tạp chí y khoa uy tín và trở thành tâm điểm chú ý toàn cầu.

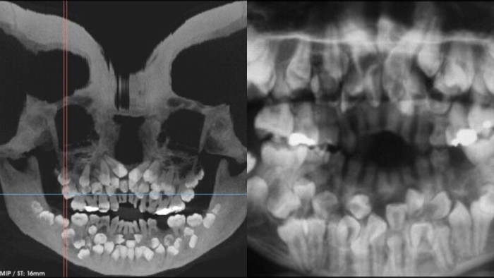
Bé gái 11 tuổi mọc 81 chiếc răng Ảnh 1

Sự việc bắt đầu khi một bé gái 11 tuổi 8 tháng tuổi đến phòng khám nha khoa ở Minas Gerais, Brazil, với mong muốn nhổ bỏ hàng răng sữa trên cùng vẫn chưa rụng. Tuy nhiên, kết quả chụp X-quang đã hé lộ một sự thật không ngờ: tổng cộng có 18 răng sữa, 32 răng vĩnh viễn và đáng kinh ngạc là 31 chiếc răng thừa ẩn sâu bên trong hàm.

Khi thăm khám ban đầu, các bác sĩ nhận thấy chỉ có 5 răng vĩnh viễn đã mọc, trong khi phần lớn răng sữa vẫn còn nguyên vẹn. Để có cái nhìn toàn diện hơn về tình trạng răng miệng của bệnh nhân, bác sĩ đã chỉ định chụp X-quang tổng quát và chụp sọ nghiêng. Những hình ảnh này không chỉ xác nhận số lượng răng bất thường mà còn cho thấy nhiều răng bị biến dạng và nằm sâu trong nướu, khiến việc phân biệt giữa răng bình thường và răng thừa trở nên vô cùng khó khăn.

Thông thường, một người trưởng thành có 32 chiếc răng. Việc sở hữu răng thừa, hay còn gọi là "răng siêu số", là một bất thường phát triển hiếm gặp. Tuy nhiên, việc có nhiều răng thừa như trường hợp này, được gọi là đa răng, lại càng cực kỳ hiếm, đặc biệt ở những người không mắc các bệnh lý hoặc tình trạng di truyền khác. Theo giải thích của các bác sĩ, răng thừa có thể xuất hiện ở bất kỳ vị trí nào trên cung răng và ảnh hưởng đến sự phát triển bình thường của các răng khác.

Bé gái 11 tuổi mọc 81 chiếc răng Ảnh 2

Một số bệnh lý thường liên quan đến tình trạng đa răng bao gồm: khe hở môi và vòm miệng, hội chứng Trichohinophalangeal, loạn sản xương đòn sọ và hội chứng Gardner.

Nhóm nghiên cứu từ Bệnh viện Nha khoa thuộc Đại học Liên bang Huesca ở Brazil đã công bố chi tiết về trường hợp đặc biệt này trên Tạp chí của Viện Hàn lâm Chỉnh nha và Phẫu thuật Miệng và Hàm mặt Hoa Kỳ. Để tìm hiểu nguyên nhân, các nhà nghiên cứu đã sử dụng hình ảnh chính xác để xác định vị trí răng và tiến hành xét nghiệm di truyền. Kết quả xét nghiệm nhiễm sắc thể cho thấy bé gái này có một đột biến gen hiếm gặp. Tuy nhiên, mối liên hệ nhân quả trực tiếp giữa đột biến gen và tình trạng đa răng vẫn cần được làm sáng tỏ thêm.

Trước tình hình phức tạp của các răng thừa nằm sâu trong nướu, việc nhổ răng một cách bừa bãi có thể gây tổn thương nghiêm trọng đến xương hàm. Do đó, nhóm nghiên cứu đã quy tụ các chuyên gia hàng đầu trong lĩnh vực chỉnh nha, phẫu thuật miệng, nha chu và phục hình răng để cùng thảo luận và xây dựng một kế hoạch điều trị dài hạn. Mục tiêu là bảo vệ sức khỏe răng miệng của bé gái, đảm bảo cô bé có thể duy trì hàm răng khỏe mạnh trong tương lai.

Chia sẻ FacebookChia sẻ

Bài viết

Thanh Phúc

ĐƯỢC QUAN TÂM

TIN MỚI