Vòng quanh thế giới

Ăn uống quá lành mạnh, cụ ông ngoài 80 tuổi mắc ung thư gan giai đoạn cuối

Hoài Thương

Sự việc của cụ ông khiến nhiều người bàng hoàng.

Một cụ ông ngoài 80 tuổi vốn khỏe mạnh, tích cực tham gia các hoạt động thể chất và xã hội, đã bất ngờ qua đời chỉ vài tháng sau khi được chẩn đoán mắc mỡ máu cao và áp dụng chế độ ăn kiêng nghiêm ngặt. Câu chuyện khiến không ít người giật mình: liệu ăn quá ít có thực sự tốt cho sức khỏe?

Ảnh minh họa. 
Ảnh minh họa. 

Câu trả lời, theo các bác sĩ, là không đơn giản. Trường hợp đau lòng này được bác sĩ chuyên khoa tiêu hóa - gan mật Chien Cheng-hung (Tiền Chính Hồng) chia sẻ trên trang cá nhân, nhằm cảnh báo về những dấu hiệu tiềm ẩn của ung thư và sai lầm thường gặp trong việc tự điều chỉnh chế độ ăn mà không theo dõi sát sao.

Ông cụ được đưa vào cấp cứu sau khi cảm thấy chóng mặt, hồi hộp và có huyết áp tăng vọt lên 200 mmHg. Các xét nghiệm cho thấy cholesterol máu tăng cao, dẫn đến chẩn đoán ban đầu là mỡ máu cao - một nguyên nhân phổ biến gây tăng huyết áp ở người lớn tuổi. Từ đó, ông bắt đầu dùng thuốc và thay đổi chế độ ăn: hạn chế dầu mỡ, ăn nhạt, giảm khẩu phần. Tuy nhiên, ông cụ lại bắt đầu ăn quá ít vì lo sợ cholesterol tiếp tục tăng.

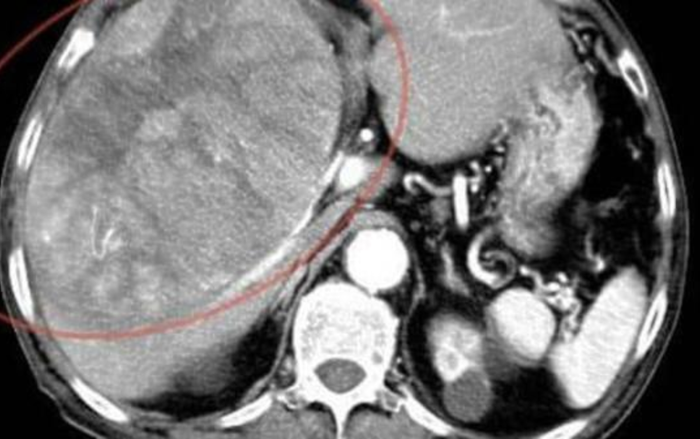
Gia đình cho rằng việc ông sụt 3-4 kg trong vài tháng là tác dụng phụ của thuốc. Nhưng thực tế, thể lực của ông suy giảm rõ rệt. Hai tháng sau, ông xuất hiện triệu chứng đau bụng vùng trên bên phải và trào ngược axit. Khi đến phòng khám, bác sĩ phát hiện một khối u lớn 15 cm trong gan. Kết quả chụp CT xác nhận ông mắc ung thư gan giai đoạn cuối và không thể can thiệp phẫu thuật. Chỉ ít lâu sau khi bắt đầu điều trị, ông qua đời. Gia đình bàng hoàng: "Ông nội sống rất điều độ, ăn uống lành mạnh, vì sao vẫn mắc ung thư gan?". 

Theo bác sĩ Chien, trường hợp này là điển hình của hội chứng Paraneoplastic - những dấu hiệu bất thường xảy ra trước khi ung thư được phát hiện, do tế bào ung thư tiết ra các chất gây rối loạn chuyển hóa trong cơ thể. Cụ thể, tế bào ung thư gan có thể kích hoạt men HMG-CoA reductase, từ đó thúc đẩy quá trình tổng hợp cholesterol và cản trở chức năng chuyển hóa bình thường của gan. Kết quả là nồng độ cholesterol tăng cao bất thường dù người bệnh không ăn uống dư thừa chất béo.

Ngoài ra, ung thư gan còn có thể gây hạ đường huyết do tế bào ung thư tiêu thụ đường hoặc tiết ra IGF-II - một yếu tố tăng trưởng tương tự insulin. Điều này lý giải vì sao bệnh nhân xuất hiện triệu chứng chóng mặt, hồi hộp, thậm chí ngất xỉu, nhưng dễ bị nhầm với các bệnh tim mạch hay tác dụng phụ của thuốc.

Ăn uống quá lành mạnh, cụ ông ngoài 80 tuổi mắc ung thư gan giai đoạn cuối Ảnh 2

Bác sĩ Chien nhấn mạnh: "Nếu người cao tuổi có biểu hiện sụt cân nhanh, giảm sức lực và thay đổi dữ liệu sinh hóa máu trong thời gian ngắn, đừng chỉ đổ lỗi cho thuốc hay chế độ ăn. Hãy chủ động tầm soát hình ảnh học, đặc biệt là siêu âm ổ bụng". 

Việc ăn uống lành mạnh là cần thiết, nhưng nếu quá kiêng khem, đặc biệt là ở người già, có thể dẫn đến suy nhược, giảm sức đề kháng, khiến bệnh nền trở nên trầm trọng hơn. Quan trọng hơn cả là hiểu rõ nguồn gốc triệu chứng, không chủ quan với những dấu hiệu bất thường tưởng chừng nhỏ nhặt như ăn ít, chóng mặt hay sút cân.

Ca bệnh này là lời cảnh tỉnh cho cộng đồng, đặc biệt là những gia đình có người lớn tuổi, cần quan sát kỹ các dấu hiệu bất thường và không tự ý điều chỉnh chế độ ăn hoặc bỏ qua việc tầm soát ung thư trong giai đoạn sớm.

Chia sẻ FacebookChia sẻ

Bài viết

Hoài Thương

ĐƯỢC QUAN TÂM

TIN MỚI