Vòng quanh thế giới

Ăn rau sống, cô gái bị sán dây lợn 'xâm chiếm' cơ thể

Minh Quân

Việc ăn rau sống sai cách có thể gây ra những hậu quả sức khỏe nghiêm trọng.

Vào ngày 7/6/2025, trang Facebook Tensia đã phát đi một cảnh báo khiến nhiều người giật mình: hãy luôn rửa sạch trái cây và rau quả tươi trước khi ăn. Lý do không chỉ vì vệ sinh thực phẩm đơn thuần, mà bởi nguy cơ mắc phải căn bệnh đáng sợ – nhiễm sán dây lợn lan tỏa – hoàn toàn có thể xảy ra nếu chúng ta chủ quan.

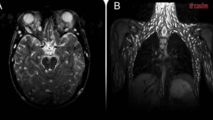
Theo nội dung được chia sẻ, một bệnh nhân đã nhập viện trong tình trạng đau đầu dữ dội, nôn mửa và co giật liên tục. Kết quả chụp MRI khiến các bác sĩ choáng váng: nang sán dây lợn đã lan rộng khắp cơ thể bệnh nhân, bao gồm cả não và các nhóm cơ. Đây là một dạng nhiễm ký sinh trùng hiếm gặp nhưng cực kỳ nguy hiểm, thường được gọi là “bệnh ấu trùng sán dây lợn lan tỏa”.

Ăn rau sống, cô gái bị sán dây lợn 'xâm chiếm' cơ thể Ảnh 1

Nguyên nhân gây bệnh bắt nguồn từ những hành vi tưởng chừng vô hại: ăn rau sống không rửa kỹ, trái cây chưa gọt vỏ, hoặc thực phẩm tiếp xúc với nguồn nước ô nhiễm. Trứng sán dây có thể tồn tại trong phân người, trong đất và nước bẩn. Khi ăn phải trứng này, chúng sẽ bị axit dạ dày phá vỡ, giải phóng ấu trùng. Những ấu trùng này không chỉ dừng lại trong ruột – nơi chúng thường cư trú – mà có thể xuyên qua thành ruột, xâm nhập vào mạch máu và di chuyển đến nhiều cơ quan khác nhau để tạo thành các nang sán.

Đặc biệt nguy hiểm là trường hợp tự nhiễm. Một người dù không ăn thịt lợn sống nhưng có thể mang trứng sán trong ruột. Nếu không rửa tay sạch sau khi đi vệ sinh, họ có thể vô tình đưa trứng sán trở lại vào miệng khi ăn uống, gây ra tình trạng nhiễm trùng lan tỏa. Trường hợp này thường xảy ra ở những người có hệ miễn dịch yếu – trẻ nhỏ, người cao tuổi, bệnh nhân HIV/AIDS hoặc đang dùng thuốc ức chế miễn dịch – khiến ấu trùng có thể di chuyển và tồn tại trong toàn bộ cơ thể.

Ăn rau sống, cô gái bị sán dây lợn 'xâm chiếm' cơ thể Ảnh 2

Vậy làm thế nào để phòng tránh một cách hiệu quả? Câu trả lời là: thay đổi từ những thói quen đơn giản nhất.

1. Tuyệt đối không ăn thịt lợn sống hoặc chưa chín kỹ. Các món như lạp xưởng, nem chua (naem), thịt luộc tái đều có thể là môi trường chứa ấu trùng. Nếu không chắc chắn về nguồn gốc và cách chế biến, tốt nhất nên nói "không".

2. Quan sát kỹ thịt lợn khi mua. Nếu thấy xuất hiện các hạt trắng to như hạt trân châu trong thớ thịt, đó có thể là nang sán. Tuyệt đối không sử dụng.

3. Rửa tay bằng xà phòng sau khi đi vệ sinh, trước khi ăn và chế biến thực phẩm. Trứng sán rất nhỏ, không thể nhìn thấy bằng mắt thường, và có thể bám lên tay, móng tay, vật dụng trong nhà bếp.

4. Rửa kỹ rau củ và trái cây trước khi ăn. Các loại rau ăn sống, củ quả mọc dưới đất như cà rốt, củ cải, rau diếp… cần được ngâm nước muối hoặc nước rửa rau chuyên dụng để loại bỏ trứng sán và các vi khuẩn nguy hiểm khác.

5. Tránh dùng tay bốc thức ăn trực tiếp cho vào miệng. Hãy sử dụng muỗng, đũa, hoặc rửa tay sạch tuyệt đối nếu bắt buộc dùng tay. Hành động nhỏ này có thể giúp bạn tránh được một căn bệnh nguy hiểm kéo dài và khó điều trị.

Ảnh minh họa: Wikipedia.
Ảnh minh họa: Wikipedia.

Câu chuyện cảnh báo từ trang Tensia không phải là một tin giật gân. Đó là một thực tế mà y học đã ghi nhận. Chỉ một phút lơ là vệ sinh thực phẩm có thể đổi lấy nhiều tháng điều trị và những di chứng nặng nề. Hãy để việc rửa tay, rửa rau trở thành một phản xạ – vì chính bạn và những người thân yêu. Trong cuộc chiến âm thầm giữa con người và ký sinh trùng, ý thức vệ sinh là vũ khí mạnh mẽ nhất.

Chia sẻ FacebookChia sẻ

Bài viết

Minh Quân

ĐƯỢC QUAN TÂM

TIN MỚI