Người đàn ông bị đau hông dữ dội, đi chụp X-quang thì phát hiện điều khó tin
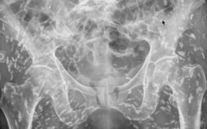
Người đàn ông quyết định đến bệnh viện kiểm tra sức khỏe sau khi trải qua cơn đau hông dữ dội.
Tìm theo từ khóa
Người đàn ông quyết định đến bệnh viện kiểm tra sức khỏe sau khi trải qua cơn đau hông dữ dội.