Sức khỏe

Người đàn ông xuất tinh qua hậu môn và tiểu ra chất thải suốt 2 năm, bác sĩ phát hiện sự thật kinh hoàng

Song Long

Người đàn ông 33 tuổi đã mắc hội chứng hiếm gặp này trong 2 năm trời, nhưng không hề thăm khám.

Người đàn ông xuất tinh qua hậu môn và tiểu ra chất thải suốt 2 năm, bác sĩ phát hiện sự thật kinh hoàng Ảnh 2

Mãi đến gần đây, khi cảm giác đau ở tinh hoàn kéo dài suốt 5 ngày, người đàn ông đến từ Texas (Mỹ) mới tìm đến bệnh viện trực thuộc Đại học Texas Medical Branch, Mail Online đưa tin.

Theo lời kể của bệnh nhân, tinh dịch và nước tiểu của anh thải ra qua đường hậu môn, trong khi đi tiểu ra phân, tức phân lẫn trong nước tiểu.

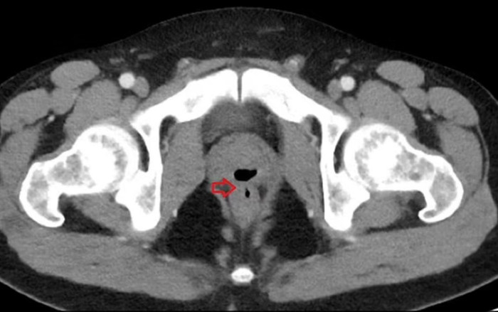
Sau khi kiểm tra, bác sĩ phát hiện có mối liên hệ bất thường giữa tuyến tiền liệt và trực tràng khiến nước tiểu, phân và tinh dịch cảu bệnh nhân ra khỏi cơ thể theo cách bất thường. Cụ thể, đây là một lỗ rò giữa trực tràng và tuyến tiền liệt, có thể là di chứng hậu phẫu thuật hoặc các bệnh viêm nhiễm như Crohn.

Người đàn ông xuất tinh qua hậu môn và tiểu ra chất thải suốt 2 năm, bác sĩ phát hiện sự thật kinh hoàng Ảnh 3

Nhưng nhóm nghiên cứu cũng nhận định rằng tinh trùng đi qua trực tràng là một “hiện tượng hiếm gặp”. 

Ngoài ra, người đàn ông 33 tuổi còn bị sưng tinh hoàn trái và nhiễm trùng đường tiểu. Do đó, bác sĩ phải xét nghiệm để đảm bảo anh không mắc bệnh lao hay viêm ruột.

Trước đó, bệnh nhân chưa từng trải qua phẫu thuật hay chịu bất kỳ chấn thương nào ở trực tràng. Sau khi kiểm tra, bác sĩ kết luận nguyên nhân là do anh đã đặt một ống thông bàng quang trong 3 tuần hôn mê sau khi dùng cocaine từ 2 năm trước.

Cuối cùng, bệnh nhân được kê thuốc để khắc phục tình trạng sưng tinh hoàn và phẫu thuật sửa lỗ rò. 

Theo các bác sĩ, nếu không được điều trị, anh có thể đã bị nhiễm trùng tiểu tái phát, nhiễm trùng thận và nhiễm trùng huyết gây nguy hiểm đến tính mạng. 

Chia sẻ FacebookChia sẻ

Bài viết

Song Long

ĐƯỢC QUAN TÂM

TIN MỚI