Sức khỏe

Người đàn ông phát hiện 'mắc xương cá tại trực tràng' khi đi tầm soát ung thư

Khải Anh

Sự việc hy hữu này đã xảy ra tại Bệnh viện Chợ Rẫy, TP.HCM, khiến bệnh nhân bị đau vùng hậu môn, cảm giác mót rặn trong nhiều ngày.

Người đàn ông phát hiện 'mắc xương cá tại trực tràng' khi đi tầm soát ung thư Ảnh 2

Theo thông tin từ Bệnh viện Chợ Rẫy, anh N.A.D (39 tuổi) phát hiện bị mắc xương cá ở trực tràng khi đi khám sức khỏe tổng quát. Anh D. cho biết tình trạng đau vùng hậu môn, cảm giác mót rặn kéo dài khoảng 2 ngày nay. Đồng thời, người đàn ông này cũng nghi ngờ nuốt phải xương cá trong lúc ăn.

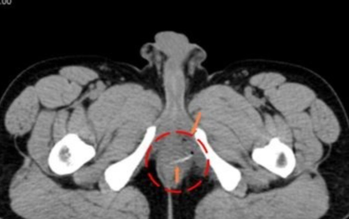
Thông qua kết quả chụp CT Scan toàn thân của bệnh nhân cho thấy một dị vật cản quang hình que kèm bóng khí, gợi ý là xương cá nằm ở vùng trực tràng, đâm thủng thành ruột và tạo áp xe. Sau đó, anh D. đã được nhập bệnh viện Chợ Rẫy phẫu thuật kịp thời lấy dị vật khỏi trực tràng, giảm thiểu tối đa các biến chứng nguy hiểm do dị vật gây ra.

Người đàn ông phát hiện 'mắc xương cá tại trực tràng' khi đi tầm soát ung thư Ảnh 1

TS BS Trần Phùng Dũng Tiến – Trưởng khoa Ngoại Tiêu hóa Bệnh viện Chợ Rẫy cho biết hiện tại anh D., đã xuất viện và khỏe mạnh bình thường. 

“Xương cá tuy nhỏ nhưng nếu để lâu có thể gây thủng ruột, nhiễm trùng tạo áp xe và nguy hiểm đến tính mạng”, TS BS Trần Phùng Dũng Tiến cho biết.

Đồng thời, bác sĩ cũng khuyến cáo rằng khi nghi ngờ bị mắc dị vật hay có những biểu hiện sức khỏe bất thường, người bệnh cần phải đến ngay các cơ sở y tế uy tín, để được chẩn đoán và điều trị kịp thời.

Chia sẻ FacebookChia sẻ

Bài viết

Khải Anh

ĐƯỢC QUAN TÂM

TIN MỚI