Sức khỏe

Não người đàn ông bị tàn phá vì thường xuyên ăn món phổ biến tưởng như vô hại

Tùng Nguyễn

Có biểu hiện đau nhức đầu nhiều ngày, ông T. đến khám tại Trung tâm y Tế huyện Tân Sơn được các Bác sĩ thăm khám và chỉ định chụp Cắt lớp vi tính sọ não phát hiện ấu trùng sán làm tổ trong não.

Não người đàn ông bị tàn phá vì thường xuyên ăn món phổ biến tưởng như vô hại Ảnh 2

Trung tâm Y tế Tân Sơn (Phú Thọ) cho biết, bệnh nhân T. (56 tuổi) vào thăm khám ngày 23/6. Ông có biểu hiện đau nhức đầu được các bác sĩ thăm khám và chỉ định chụp Cắt lớp vi tính sọ não.

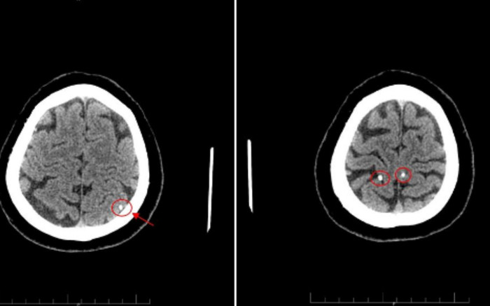
Hình ảnh chụp cắt lớp cho thấy nang ký sinh trùng trong não bệnh nhân. Ảnh: BVCC
Hình ảnh chụp cắt lớp cho thấy nang ký sinh trùng trong não bệnh nhân. Ảnh: BVCC

Sau khi thăm khám, bác sĩ chuyên khoa Chẩn đoán hình ảnh kết luận trong sọ não bệnh nhân T có "Hình ảnh nang ký sinh trùng (ấu trùng sán não - neurocysticercosis)". Theo bệnh viện, trước đó Bệnh nhân T. có thói quen ăn đồ sống là gỏi cá.

Các bác sĩ cho biết, bệnh kén sán não là bệnh lý thuộc nhóm nhiễm trùng hệ thần kinh trung hương, có mức độ nguy hiểm rất cao biểu hiện ban đầu của bệnh đó là nhức đầu liên tục, nhức cả vùng đầu và có tính chất lan sang nhiều vùng khác.

Nếu nghiêm trọng hơn, bệnh nhân có thể gặp phải những cơn động kinh nặng nhẹ khác nhau.

TTYT Huyện Tân Sơn khuyến cáo  bệnh nhân cần phải đề phòng nhiễm bệnh bằng những biện pháp giảm thiểu các yếu tố nguy cơ dẫn đến nhiễm ấu trùng như:

- Giữ môi trường sống sạch sẽ

- Ăn uống hợp vệ sinh

- Không ăn thức ăn chưa nấu chín như : Gỏi cá, tiết canh, vv...

Bé trai 10 tháng tuổi nhập viện khẩn, nguy kịch vì món ăn mọi nhà thường nấu cho con trẻ

- Luôn rửa tay sạch với xà phòng trước và sau khi đi vệ sinh

Hạn chế thả rông lợn. Nếu nuôi lợn thì phải tuân thủ những quy trình xử lý phân, hay ngăn cách địa điểm nuôi với môi trường sống.

- Tẩy giun sán định kỳ.

Mời đọc giả xem thêm: Cuộc sống hậu nghỉ chơi của bộ ba: Khoa Pug, Vương Phạm, Johnny Đặng

Chia sẻ FacebookChia sẻ

Bài viết

Tùng Nguyễn

ĐƯỢC QUAN TÂM

TIN MỚI