Sức khỏe

Kim tiêm gãy, mắc toàn bộ trong má người phụ nữ khi tiêm filler làm đẹp ở salon tóc

Tùng Nguyễn

Khi đang tiêm filler tại salon tóc thì gặp sự cố gãy kim tiêm, đầu kim cắm sâu vào má người phụ nữ phải nhập viện.

Kim tiêm gãy, mắc toàn bộ trong má người phụ nữ khi tiêm filler làm đẹp ở salon tóc Ảnh 2

Thông tin từ Bệnh viện Đa khoa Hùng Vương, cho biết đơn vị vừa tiếp nhận và điều trị cho một nữ bệnh nhân 45 tuổi ở Phú Thọ gặp sự cố gãy kim tiêm, toàn bộ kim tiêm nằm trong má khi đang tiêm filler.

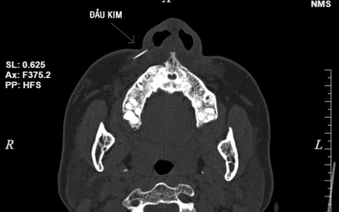
Chụp CT scanner, cho kết quả hình ảnh dị vật khoảng 1cm, vị trí phần mềm cánh mũi phải. (Ảnh: BVCC).
Chụp CT scanner, cho kết quả hình ảnh dị vật khoảng 1cm, vị trí phần mềm cánh mũi phải. (Ảnh: BVCC).

Trước đó, bệnh nhân đến bệnh viện thăm khám sau khi tiêm filler xóa rãnh mũi, má. Theo người bệnh, khi đang tiêm filler thì gặp sự cố gãy kim tiêm, đầu kim cắm sâu vào má. Sau đó bệnh nhân tới bệnh viện để cấp cứu và điều trị.

Sau khi tiếp nhận bệnh nhân, các bác sĩ tiến hành chụp CT scanner, cho kết quả hình ảnh dị vật khoảng 1cm, vị trí phần mềm cánh mũi phải, chỉ định thủ thuật lấy dị vật cho bệnh nhân.

Sau 10 phút thực hiện thủ thuật, các bác sĩ đã lấy đầu kim từ vùng má bệnh nhân. Hiện sức khỏe bệnh nhân đã ổn định, tiếp tục được bác sĩ theo dõi.

Các bác sĩ khuyến cáo, làm đẹp là nhu cầu chính đáng và bình thường của tất cả mọi người, đặc biệt là chị em phụ nữ. Tuy nhiên, mọi người không nên thực hiện tại các cơ sở không được cấp phép, các tiệm làm tóc hay spa… 

Nếu có nhu cầu làm đẹp, nên tới các cơ sở y tế có bác sĩ chuyên khoa thẩm mỹ uy tín để được tư vấn, thực hiện.

Chia sẻ FacebookChia sẻ

Bài viết

Tùng Nguyễn

ĐƯỢC QUAN TÂM

TIN MỚI