Sức khỏe

Cứu sống bé trai 5 tuổi mắc dị vật pin cúc áo, bác sĩ đưa ra lời khuyên đáng lưu ý cho bố mẹ

Khải Anh

'Nếu không nghĩ đến việc trẻ nuốt phải dị vật, một khi phát hiện được gần như đã quá trễ, biến chứng di chứng nguy hiểm dày đặc khó xử lý', bác sĩ Vũ lưu ý.

Cứu sống bé trai 5 tuổi mắc dị vật pin cúc áo, bác sĩ đưa ra lời khuyên đáng lưu ý cho bố mẹ Ảnh 2

Trong kì nghỉ Tết nguyên đán 2022, bệnh viện Nhi Đồng TP.HCM đã tiếp nhận nhiều trường hợp trẻ bị hóc dị vật. Cụ thể, vào mùng 1 Tết, bệnh viện đã ghi nhận trường hợp em bé đồng xu chẹn ngay thực quản gần cổ họng. 

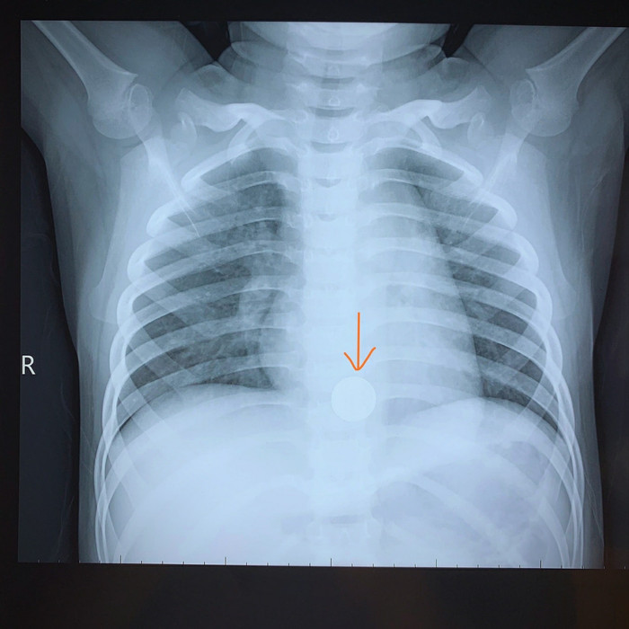
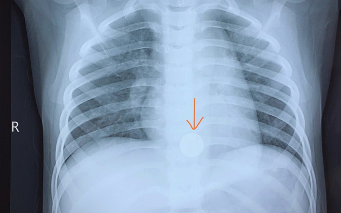
Vào mùng 4 Tết, BS CK1 Lê Đức Lộc cùng êkip đã tiếp nhận trường hợp bé trai Cần Thơ 5 tuổi chuyển viện hóc dị vật là cục pin cúc áo đường kính 2 cm. 

Hơn 5 giờ mắc kẹt, cục pin tiết hoá chất mạnh gây bỏng chít hẹp thực quản độ 2B, xì dò doạ thủng xuất huyết... Sau khi các bác nhẹ nhàng soi gắp, phải đặt ngay sonde hỗng tràng tránh nguy cơ hẹp khít thực quản tiếp diễn...

Bác sĩ Nguyễn Cát Phương Vũ (thuộc bệnh viện Nhi Đồng TP.HCM) cho biết: "Nếu không thấy và không có nghi ngờ, việc bỏ sót các dị vật nguy hiểm nhất là pin, đặc biệt pin từ tính (magnetic) và pin có chứa kiềm (alkali) kể cả acid (nhưng nhẹ hơn kiềm) thì nó đều có tính xuyên thấu và ăn mòn cao. 

Dị vật pin cúc áo trong người bé trai 5 tuổi
Dị vật pin cúc áo trong người bé trai 5 tuổi

Với các loại pin, bị kẹt lại ở thực quản, đó là một cấp cứu khẩn cấp, dị vật cần phải được lấy ra trong vòng 2 giờ sau khi nuốt, vì để kéo dài, nó bắt đầu ăn mòn và có thể gây thủng mạch chảy máu, gây nguy hiểm đến tính mạng. 

Nhưng nếu trẻ lớn, chỉ nuốt phải một viên pin kích thước dưới 12mm và đã qua dạ dày, thì lại không can thiệp gì khẩn nếu không có triệu chứng, chỉ chụp lại x-quang sau 4 ngày để xem dị vật đã được tống xuất ra ngoài hay chưa".

Đồng thời, bác sĩ cũng khuyến cáo rằng đa phần trẻ nhỏ không nói được, hay hoảng loạn khóc thét nôn mửa, sặc sụa thoáng qua khi mới nuốt. Triệu chứng thường rất mơ hồ lúc ban đầu, nếu không nghĩ đến việc trẻ nuốt phải dị vật, một khi phát hiện được gần như đã quá trễ, biến chứng di chứng nguy hiểm dày đặc khó xử lý.

Chia sẻ FacebookChia sẻ

Bài viết

Khải Anh

ĐƯỢC QUAN TÂM

TIN MỚI