Sức khỏe

Cẩn thận với bệnh xơ phổi, phổi trắng xóa gây khó thở hậu Covid-19

Phương Linh

Các di chứng và bệnh lý hậu Covid-19 vẫn là những nỗi lo lắng không dứt với những bệnh nhân đã được điều trị khỏi bệnh.

Cẩn thận với bệnh xơ phổi, phổi trắng xóa gây khó thở hậu Covid-19 Ảnh 2

Giữa tháng 11/2021, nữ bệnh nhân tên 56 tuổi tên Tâm (ngụ Châu Đốc, An Giang) mắc Covid-19 mức độ nặng, phải điều trị sử dụng thuốc kháng siêu vi, kháng đông, kháng viêm và được hỗ trợ thở HFNC (oxy dòng cao). Khỏi Covid-19 xuất viện về nhà, bà thường mệt mỏi và khó thở.

Một tháng sau, bà Tâm đến Bệnh viện khám, kết quả chụp X-quang cho thấy xơ phổi hậu Covid, tổn thương xơ phổi nặng hai bên. Tình trạng tổn thương dạng mô kẽ rải rác hai phổi, xơ rải rác, dãi phế quản rải rác hai phổi. Bà phải điều trị dài ngày, đến nay vẫn chưa khỏi.

Phần lớn bệnh nhân đến khám hậu Covid-19 tại bệnh viện thuộc nhóm bệnh nhân nặng bị tổn thương phổi, phải thở oxy dòng cao, thở máy trong giai đoạn cấp tính điều trị Covid-19, số ít bệnh nhân nhẹ gặp di chứng Covid-19 kéo dài.

"Tình trạng xơ phổi của các bệnh nhân hậu Covid-19 ở nhiều mức độ nặng nhẹ khác nhau. Một số người xuất hiện kén khí, trong phổi có túi khí với nhiều kích thước, vỡ ra gây tràn khí màng phổi. Tình trạng xơ hóa làm giảm trao đổi khí cũng dẫn đến bệnh phổi hạn chế ở một số bệnh nhân hậu Covid-19", bác sĩ Lịch (Trưởng khoa Hồi sức tích cực, bệnh viện đa khoa Quốc tế Nam Sài Gòn) chia sẻ.

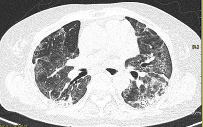
Hình ảnh chụp X-quang phổi của bà Tâm với nhiều đốm trắng xóa, cho thấy mức độ xơ phổi nặng. Ảnh: Bác sĩ cung cấp 
Hình ảnh chụp X-quang phổi của bà Tâm với nhiều đốm trắng xóa, cho thấy mức độ xơ phổi nặng. Ảnh: Bác sĩ cung cấp
 

Di chứng Covid-19 tác động đến phổi ở nhiều mức độ, như tổn thương xơ phổi mức độ nhẹ. Nặng hơn là phổi xơ nhiều (viêm phổi tổ chức hóa), khi ấy hình chụp X-quang phần trắng nhiều hơn đen, bệnh nhân khó thở liên tục, chỉ số oxy trong máu (SpO2) thấp, phải thở oxy tại nhà. Một số bệnh nhân bị nhiễm vô mô phổi lủng lỗ như lao (do lúc cấp tính mắc Covid-19 nặng quá), xơ xẹp phổi.

Bệnh nhân hậu Covid nhẹ có các triệu chứng như hồi hộp nhẹ, rối loạn giấc ngủ, rụng tóc có thời gian hồi phục từ 1-2 tháng, bệnh nhân bị xơ hóa phổi, có triệu chứng khó thở thì thời gian phải mất 3-6 tháng. Với xơ hóa phổi rất nặng thì thời gian hồi phục có thể phải tính bằng năm và cần kiên trì điều trị.

Để điều trị di chứng hậu Covid-19, tùy theo mức độ và triệu chứng, các bác sĩ sẽ kiểm tra hô hấp, tâm thần kinh, đa niệu... Trong khám hô hấp, bệnh nhân được chụp X-quang phổi, điện tim, đo chức năng hô hấp để biết mức độ trao đổi khí, từ đó bác sĩ đánh giá mức độ nặng nhẹ để điều trị thuốc, tập thở và vật liệu trị liệu.

Người sau khi khỏi Covid được bác sĩ khuyến cáo nên khám sức khỏe định kỳ, điều trị thích hợp nếu phát hiện tổn thương do di chứng. Bác sĩ sẽ đánh giá mức độ di chứng của bệnh nhân để thiết lập lộ trình tập luyện phù hợp, tránh tập quá sức khiến bệnh nặng hơn.

 

Chia sẻ FacebookChia sẻ

Bài viết

Phương Linh

ĐƯỢC QUAN TÂM

TIN MỚI