Sức khỏe

Sốc trước ảnh chụp X-quang phổi của bệnh nhân Covid-19 so với phổi của người hút thuốc

Song Long

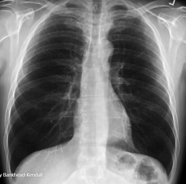
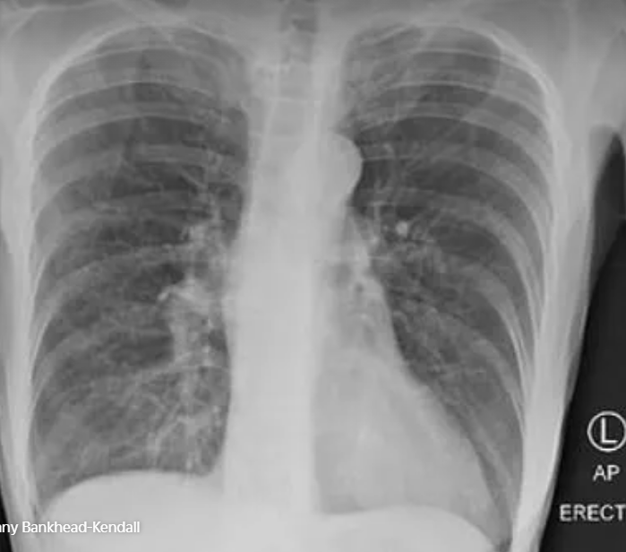
Kết quả chụp X-quang cho thấy tổn thương để lại trên phổi của bệnh nhân Covid-19 nghiêm trọng hơn cả phổi của những người nghiện thuốc.

Sốc trước ảnh chụp X-quang phổi của bệnh nhân Covid-19 so với phổi của người hút thuốc Ảnh 2

Những hình ảnh gây sốc này được công bố bởi Tiến sĩ Brittany Bankhead-Kendall, trợ lý giáo sư tại Trung tâm Khoa học Y tế trực thuộc Đại học Công nghệ Texas (Mỹ), người đã điều trị cho hàng nghìn bệnh nhân Covid-19 từ khi đại dịch xảy ra vào năm ngoái.

Theo thứ tự, ảnh đầu tiên là phổi của người khỏe mạnh bình thường, ảnh thứ 2 là phổi của người hút thuốc và cuối cùng là phổi của bệnh nhân Covid-19. Có thể thấy lá phổi trong ảnh đầu tiên sẫm màu và không có vết tích lạ, ảnh thứ 2 có sẹo, còn phổi trong ảnh thứ 3 lại mờ đục vì chất nhầy. 

Lá phổi của người khỏe mạnh.
Lá phổi của người khỏe mạnh.
Lá phổi của người nghiện thuốc lá.
Lá phổi của người nghiện thuốc lá.
Lá phổi bệnh nhân Covid-19.
Lá phổi bệnh nhân Covid-19.

Các bác sĩ trước đây đã cảnh báo về tác động của “Covid kéo dài”, tức các triệu chứng mà người mắc Covid-19 gặp phải dù đã khỏi bệnh, bao gồm mệt mỏi, khó thở, tim đập mạnh, đau khớp, đau cơ và “não sương mù”. Theo Bankhead-Kendall, trong số những người mà cô đang điều trị, tất cả bệnh nhân từng trải qua các triệu chứng đó đều có lá phổi bị tổn thương nặng nề trên kết quả chụp X-quang. 

Đáng sợ hơn, ngay cả những người không có triệu chứng cũng có thể gặp tình trạng tương tự. “Vẫn có những người nói: 'Tôi ổn, tôi không có vấn đề gì cả'. Nhưng kết quả chụp X-quang phổi của họ đã chứng minh điều ngược lại”, cô nói. 

Chia sẻ FacebookChia sẻ

Bài viết

Song Long

ĐƯỢC QUAN TÂM

TIN MỚI