Khi đủ thời gian thai kỳ, các em bé sẽ bắt đầu một cuộc sống mới bên ngoài bụng mẹ. Trong khi, phần lớn các bé phải nhờ tới sự trợ giúp của các bác sĩ mới có thể chui khỏi ra bụng mẹ thì một em bé sống tại Pháp đã tự mình đạp rách tử cung của mẹ để thò chân ra ngoài.

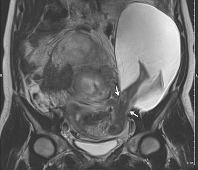
Hình chụp siêu âm cho thấy em bé đã đạp rách tử cung khi vẫn nằm trong bụng mẹ.
Trường hợp mang thai kỳ lạ này đã được bác sĩ Pierre Emmanuel Bouet, thuộc Bệnh viện Đại học Angers phát hiện ra sau khi nhìn thấy hình siêu âm của một sản phụ 33 tuổi. Theo bác sĩ, đây là 1 trong 26 ca mang thai cực hiếm hoi trong lịch sử y học thế giới.
Vết rách có chiều dài 2,5cm. Một phần túi nước ối cũng theo đó mà lòi ra ngoài. Trước tình trạng này, bác sĩ đã cảnh báo khả năng sinh non cũng như thoát vị tử cung, nhau cài răng lược, thậm chí phải cắt bỏ tử cung ở mẹ.
Cuối cùng, bà mẹ dũng cảm này cũng trải qua 30 tuần mang thai đầy nguy hiểm để hạ sinh một bé trai khỏe mạnh nặng 1,4kg bằng phương pháp đẻ mổ. Được biết, vào thời điểm lâm bồn, vết rách tử cung đã rộng tới 5cm.