
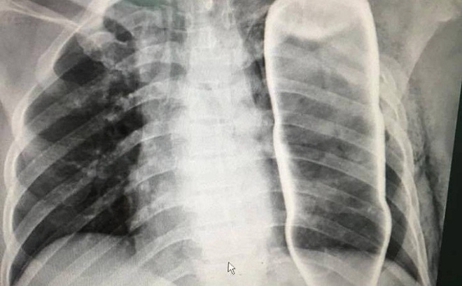
Hình ảnh chụp X - Quang vỏ chai thủy tinh trong lồng ngực bệnh nhân B.
Ngày 28/5, Bệnh viện Đà Nẵng cho biết, vừa tiếp nhận và mổ cấp cứu thành công một ca bệnh hy hữu nhất từ trước đến nay.
Bệnh nhân là ông N.H.B (53 tuổi, trú Quảng Nam), được đưa đến Bệnh viện cấp cứu trong trạng thái hoảng loạn, khó thở, đau tức ở vùng ngực do bị ngã cầu thang.
Theo người thân cho biết, trong lúc đi xuống cầu thang, anh B. không may bị vấp, ngã chúi xuống nền nhà và bị một vật chưa xác định đâm xuyên thẳng qua vùng lõm xương đòn và tụt vào trong lồng ngực.
Ngay sau đó, các bác sỹ đã tiến hành chụp X Quang, Citi và vô cùng kinh ngạc khi phát hiện một vỏ chai nước khoáng đang nằm gọn trong ngực của bệnh nhân B.
Sau khi hội chẩn, các y bác sỹ của Bệnh viện Đà Nẵng đã lập tức thực hiện phẫu thuật để lấy vỏ chai ra khỏi lồng ngực bệnh nhân.
Được biết, dù bị vỏ chai to xuyên vào ngực nhưng may mắn nạn nhân chỉ bị gãy 2 xương sườn và không có tổn thương nghiêm trọng nào khác.
Hiện sức khỏe của bệnh nhân đang tiến triển tốt và sẽ được xuất viện trong vài ngày tới.