Cận cảnh cuộc sống

Cậu bé 11 tuổi vẫn bị hóc sặc dị vật, bác sĩ đưa ra khuyến cáo

Khải Anh

Bệnh viện Nhi Đồng TP.HCM đã tiếp nhận cậu bé 11 tuổi nhưng vẫn bị hóc sặc dị vật dẫn đến ho nhiều sặc sụa và sốt nhẹ.

Cậu bé 11 tuổi vẫn bị hóc sặc dị vật, bác sĩ đưa ra khuyến cáo Ảnh 2

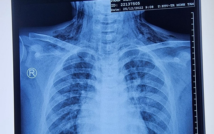
Cụ thể, bệnh nhi 11 tuổi (ngụ Tiền Giang) đang là học sinh cấp cứu đã được chuyển đến Bệnh viện Nhi đồng Thành Phố (huyện Bình Chánh, TP.HCM) trong tình trạng khó thở nặng, ho nhiều sặc sụa và sốt nhẹ..

Theo thông tin bệnh viện, trước đó 7 ngày, em có các triệu chứng ho, khó thở và sốt âm ỉ cứ thế tăng dần theo từng ngày. Trong đợt bệnh, em nhớ lại và kể có ngậm viết bi và vô tình nuốt phải đầu nút bấm bằng nhựa.

Nghi ngờ hóc dị vật đường thở, ê-kíp bác sĩ đã nội soi phát hiện dị vật nằm bít lòng phế quản trung gian phổi. Cụ thể, dị vật này là đậu nhựa bút bi đang nham nhở xước bởi các chất tiết đàm nhớt.

Cậu bé 11 tuổi vẫn bị hóc sặc dị vật, bác sĩ đưa ra khuyến cáo Ảnh 1

Qua trường hợp trên, các bác sĩ cho biết tai nạn dị vật hóc sặc trở nên rất phổ biến ở trẻ em và đôi khi có nguy cơ cao đến tính mạng của trẻ lý do là dị vật nguy hiểm như pin hoặc các loại đậu hạt đầu nhọn dễ bít lòng và trầy xước tổn thương, tắc nghẽn đường thở.

Nếu không được phát hiện sớm, mà trẻ lại không biết nói hoặc sợ không chịu nói, tai họa và biến chứng về sau hết sức khôn lường.

Cậu bé 11 tuổi vẫn bị hóc sặc dị vật, bác sĩ đưa ra khuyến cáo Ảnh 2

Đồng thời, bác sĩ cũng đưa ra khuyến cáo các gia đình có con nhỏ, không bao giờ để các cháu một giây phút nào ra ngoài tầm mắt tầm tay của người lớn. 

Đặc biệt nhà có con nhỏ, trong nhà không nên có bất cứ một vật gì có thể vừa vào miệng trẻ. Bên cạnh đó, mọi đồ vật có thể cầm nắm được đều phải để ngoài tầm với của trẻ.

Chia sẻ FacebookChia sẻ

Bài viết

Khải Anh

ĐƯỢC QUAN TÂM

TIN MỚI