
Nhanh tay “giật ngay” loạt giải thưởng giá trị từ JW
Duy nhất ngày 9/6/2018, Nha khoa JW tổ chức hội thảo Giải pháp mới trong điều trị bệnh lý răng miệng nguy hiểm, khách hàng sẽ có cơ hội trải nghiệm miễn phí các dịch vụ như : niềng răng, bọc răng sứ, cấy ghép implant và một số dịch vụ nha khoa cao cấp khác.
150 vé VIP tham dự và cơ hội làm răng MIỄN PHÍ 100% dành cho những khách hàng đăng kí sớm nhất TẠI ĐÂY.
Cơ cấu giải thưởng:
+ 1 Giải Nhất: Miễn phí 100% Niềng răng thông minh
+ 1 Giải Nhì: Miễn phí 100% Bọc răng sứ Porcelain Nano 5S
+ 2 Giải Ba : Miễn phí 100% Cấy ghép Implant
+ 2 Giải Tư: Giảm 50% Niềng răng thông minh SmartClip
Giảm 50% Cấy ghép Implant
Quyền lợi của khách hàng tham dự hội thảo
Với tiêu chí mang lại nụ cười rạng ngời cho hàng triệu người Việt, Nha khoa JW đã tổ chức buổi hội thảo với mục đích cung cấp nhiều lợi ích cho tất cả khách hàng tham dự như:
- Nhận ngay cơ hội trải nghiệm miễn phí các dịch vụ nha khoa cao cấp.
- Tiếp cận và trải nghiệm các kỹ thuật nha khoa mới nhất như: niềng răng thông minh, bọc răng sứ Porceplain Nano 5S, cấy ghép implant Pro arch.
- Được miễn phí thăm khám và tư vấn sức khỏe răng miệng, từ đó giúp khách hàng phát hiện sớm các bệnh lý răng miệng thường gặp, bệnh lý nguy hiểm để có hướng điều trị kịp thời.
- Nhận ưu đãi 30% khi sử dụng các dịch vụ nha khoa như: Bọc răng sứ, mặt dán sứ Veneer, cấy ghép implant nước Neodent, ưu đãi 20% khi sử dụng các dịch vụ khác.
- Đặc biệt, đối với khách hàng có nhu cầu niềng răng sẽ được GIẢM NGAY 20% , đồng thời được áp dụng chương trình hỗ trợ trả góp lãi suất 0%.
Đồng thời, tất cả khách hàng sẽ được tham gia vòng xoay may mắn để được giảm tiền mặt đến 1.000.000 VNĐ hoặc các phần quà giá trị khác. Tất cả những quyền lợi trên chỉ áp dụng duy nhất 1 ngày 9/6/2018 cho khách hàng tham gia hội thảo.

Nha khoa JW thường xuyên tổ chức các buổi thăm khám răng miệng miễn phí.
Nha khoa JW - dẫn đầu những công nghệ nha khoa bậc nhất
Tham dự hội thảo Giải pháp mới trong điều trị bệnh lý răng miệng nguy hiểm là dịp để tất cả chúng ta cập nhật thêm thông tin về những công nghệ nha khoa mới nhất như:
- Niềng răng thông minh: một phương pháp tích hợp giúp khách hàng có sự lựa chọn chính xác và tiết kiệm hơn về giải pháp niềng răng cho các tình trạng: răng hô,móm, răng mọc lệch lạc, khấp khiểng,lộn xộn,…
- Bọc răng sứ Porcelain Nano 5S: Được xem là một phát minh nổi bật của nha khoa JW trong năm 2018, giúp giải quyết được nhiều khuyết điểm mà phương pháp bọc răng sứ thông thường mắc phải. Ưu điểm nổi bật của phương pháp này là: tiết kiệm thời gian (chỉ sau 1h là có răng sứ hoàn chỉnh do răng được chế tác tại chỗ), màu sắc tự nhiên như thật, đạt tiêu chí 5 KHÔNG (không hôi miệng, không mài nhỏ răng, không ê buốt, không điều trị tủy, không viêm lợi)
- Cấy ghép implant Pro arch: công nghệ phục hình răng implant thế hệ mới, với loạt ưu điểm như: Đẩy nhanh thời gian lành thương, tiết kiệm chi phí, an toàn với mọi trường hợp, đảm bảo chức năng ăn nhai và thẩm mỹ, hạn chế tích tụ mảng bám và viêm quanh ổ răng.

Những công nghệ mới nhất của nha khoa JW.
Bạn có biết?
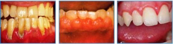
Với nhịp sống ngày càng vội vã của xã hội, nên nhiều người trong chúng ta ít xem trong vấn đề chăm sóc sức khỏe, mà điển hình là chăm sóc sức khỏe răng miệng. Theo một nghiên cứu gần đây cho thấy :
Hơn 90% người Việt mắc các bệnh lý răng miệng nghiêm trọng như: hôi miệng, sâu răng, viêm nha chu, chảy máu chân răng, viêm nướu, răng nhiễm màu, răng mọc lệch lạc, khớp cắn ngược, gảy răng hoặc mất nhiều răng.
Hơn 95% người Việt vướng sai lầm trong thói quen chăm sóc răng miệng: Đánh răng sai cách, không cạo vôi răng và khám răng định kỳ, điều trị sai cách hoặc xem thường các bệnh lý răng miệng,…

Các bệnh lý răng miệng khiến mất thẩm mỹ và ảnh hưởng nghiêm trọng vấn đề ăn nhai.
Để kịp thời phát hiện những bệnh lý răng miệng hay khắc phục những sai sót trong vấn đề chăm sóc răng miệng hằng ngày. Thì hãy nhanh chóng đăng kí tham gia hội thảo của nha khoa JW ngay từ bây giờ.
Nha khoa Bệnh Viện JW Hàn Quốc
Địa chỉ: 44-46-48-50 Tôn Thất Tùng, Bến Thành, Quận 1, TP.HCM
Hotline: 1900 0027 , 09 6869 2222
Website: https://nhakhoahanquoc.com.vn/